Fig. 7

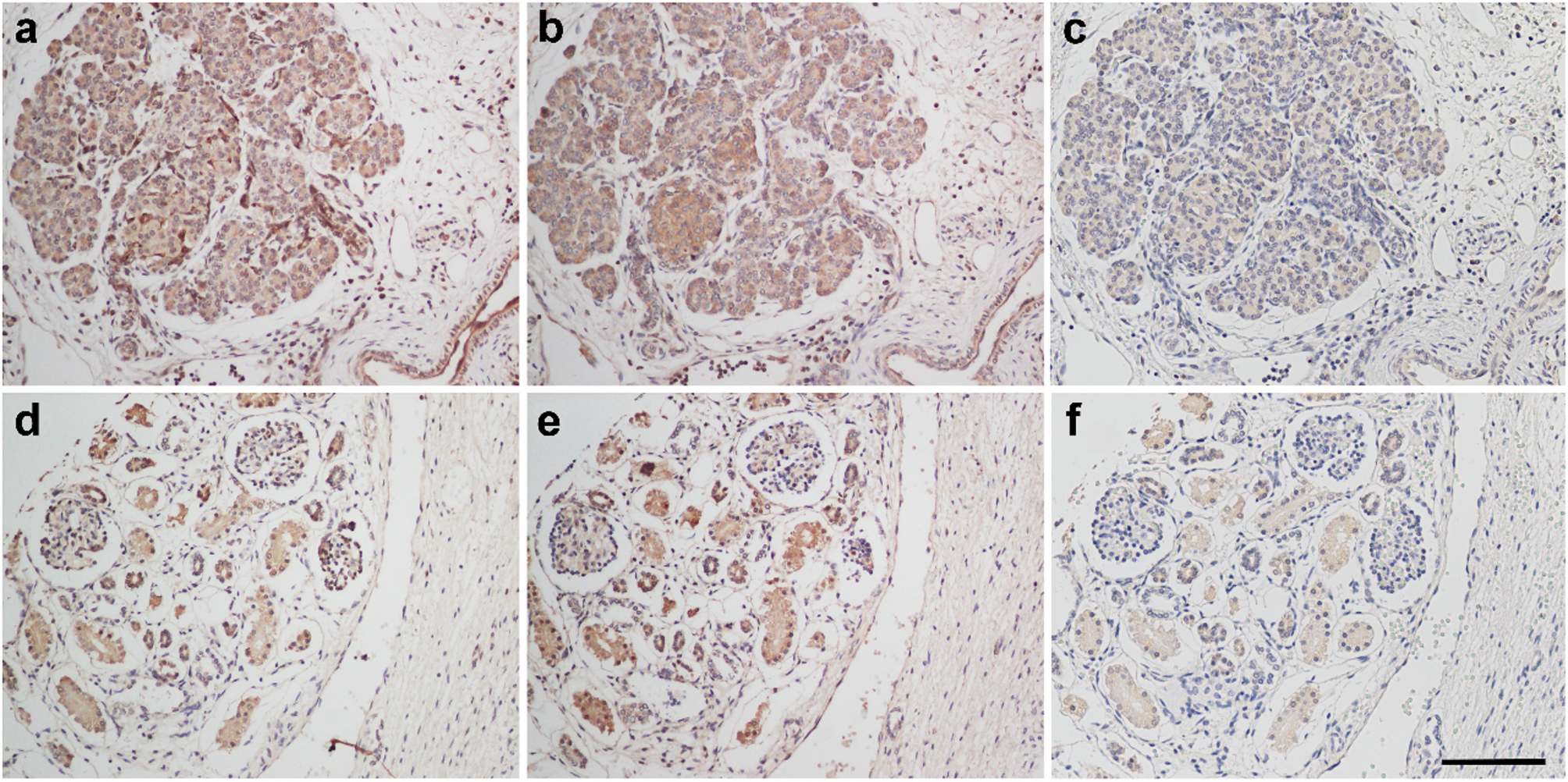
Representative microphotographs of a 5 month-old fetal pancreas (a–c) and kidney (d–f) immunostained for CR1 (a,d), CR3 (b,e) and in the absence of primary antibody as a negative control (c, f). Scale bar = 200 μm.

Representative microphotographs of a 5 month-old fetal pancreas (a–c) and kidney (d–f) immunostained for CR1 (a,d), CR3 (b,e) and in the absence of primary antibody as a negative control (c, f). Scale bar = 200 μm.