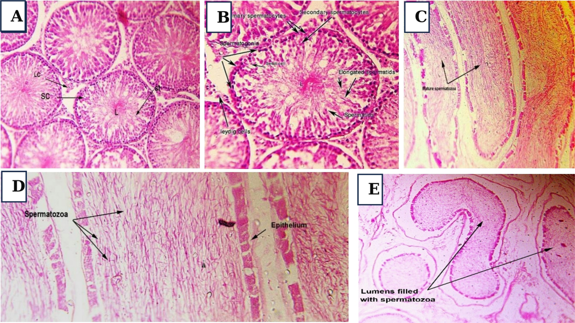
Fig. 1

Histological analysis of testicular and epididymal tissues in control group rats. (A) Testis showing compact seminiferous tubules with thick epithelium and elongated spermatids. (B) Higher magnification of seminiferous tubules with visible primary, secondary, round, and elongated spermatids. (C) Caput epididymis containing numerous healthy mature spermatozoa. (D) Higher magnification of caput epididymis. (E) Cauda epididymis filled with mature spermatozoa. Hematoxylin and eosin (H&E) staining; original magnifications: (A, C, E) ×20, (B, D) ×40. Sg spermatogonia, SC spermatocytes, St seminiferous tubule, LC Leydig cells.