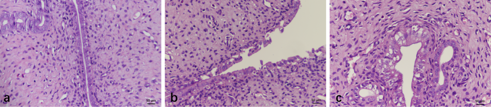
Fig. 3

H&E Staining of Endometrial Samples. Endometrium of the normal group (a). Endometrium of the model group (b). Endometrium of the UC-MSCs group(3c). All images are captured at a magnification of ×400. Scale bar: 50 μm.

H&E Staining of Endometrial Samples. Endometrium of the normal group (a). Endometrium of the model group (b). Endometrium of the UC-MSCs group(3c). All images are captured at a magnification of ×400. Scale bar: 50 μm.