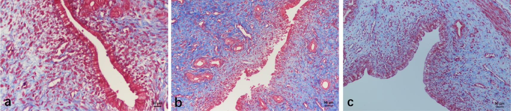
Fig. 4

Masson Staining of Endometrial Samples. Endometrium of the normal group (a), model group (b) and the UC-MSCs group (c). All images are captured at a magnification of ×400. Scale bar: 50 μm.

Masson Staining of Endometrial Samples. Endometrium of the normal group (a), model group (b) and the UC-MSCs group (c). All images are captured at a magnification of ×400. Scale bar: 50 μm.