Fig. 7

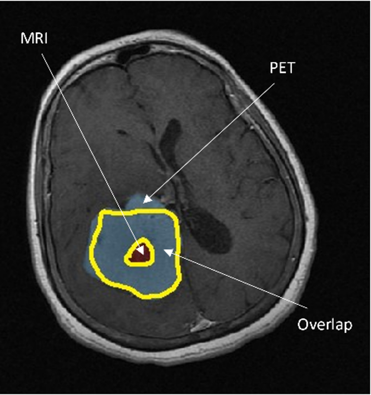
Axial slice of the brain obtained using contrast-enhanced MR, showing PET and MRI-derived tumor volumes: Voverlap, VonlyPET, and VonlyMR.

Axial slice of the brain obtained using contrast-enhanced MR, showing PET and MRI-derived tumor volumes: Voverlap, VonlyPET, and VonlyMR.