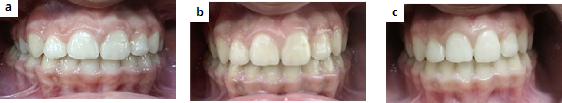
Fig. 5

Shows color change for a case in Fluoride group; (a) preoperatively, (b) Immediately after application, (c) after one month.

Shows color change for a case in Fluoride group; (a) preoperatively, (b) Immediately after application, (c) after one month.