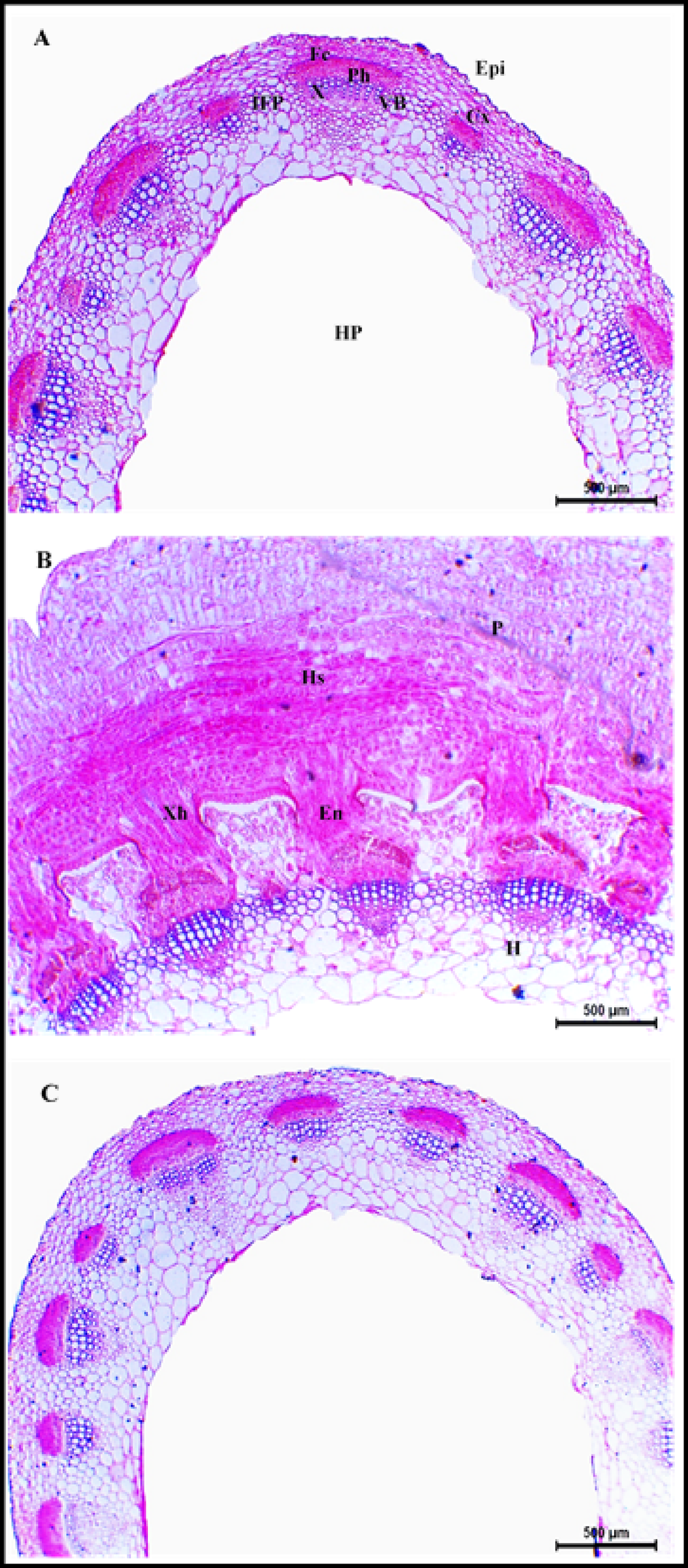
Fig. 3

Transverse sections of Egyptian clover stem (Helali cultivar). (A) Control, (B) dodder infested, (C) dodder infested-bioherbicide treated (20 kg fed-1). Epi: epidermis, Cx: cortex, IFP: interfascicular parenchyma, VB: vascular bundle, Fc: fiber cap, Ph: phloem X: xylem, HP: hollow pith, P: Parasite, Hs: haustorium, En: endophyte, Xh: xylem hyphae, H: host tissues. Scale bar = 500 µm.