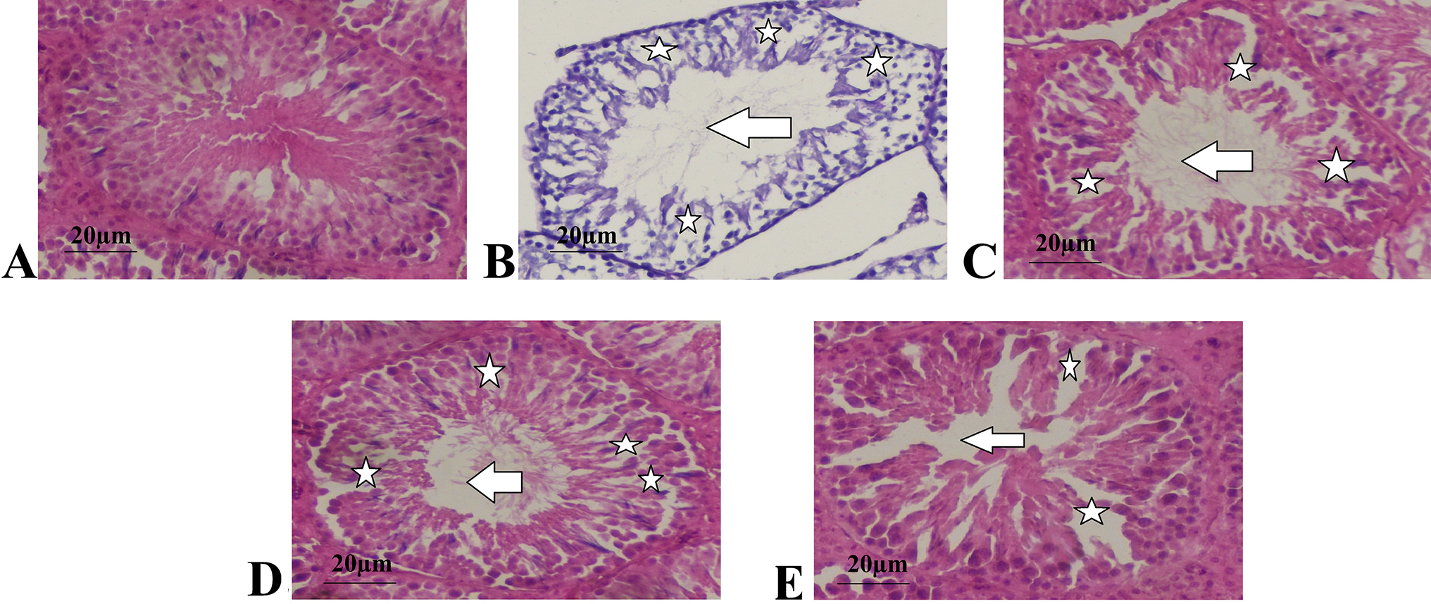
Fig. 2
From: β-Glucan and resveratrol mitigate lead induced reproductive toxicity in male mice

Testicular histo-architecture in different experimental groups. (A) Control; (B) Lead (Pb); (C) Pb + β-glucan; (D) Pb + Resveratrol; (E) Pb + β-glucan + Resveratrol (hematoxylin and eosin staining, 400×). Group A (Control) showed normal seminiferous tubules with active spermatogenesis and high sperm density in the lumen. Group B (Pb) exhibited severe histopathological aberrations, including seminiferous tubule atrophy, intraepithelial vacuolization, germ cell loss, and basal membrane irregularities, with reduced viable sperm in the lumen (white arrows) and a low Johnsen score (5.51 ± 0.23). Groups C, D, and E showed improved histology with partial restoration of tubule structure, increased viable sperm density (white arrows), and higher Johnsen scores (7.12–8.46), though mild disorganization persisted (asterisks). Different superscripts demonstrate significant differences (p ≤ 0.05; Mean ± SD). n = 8 per group.