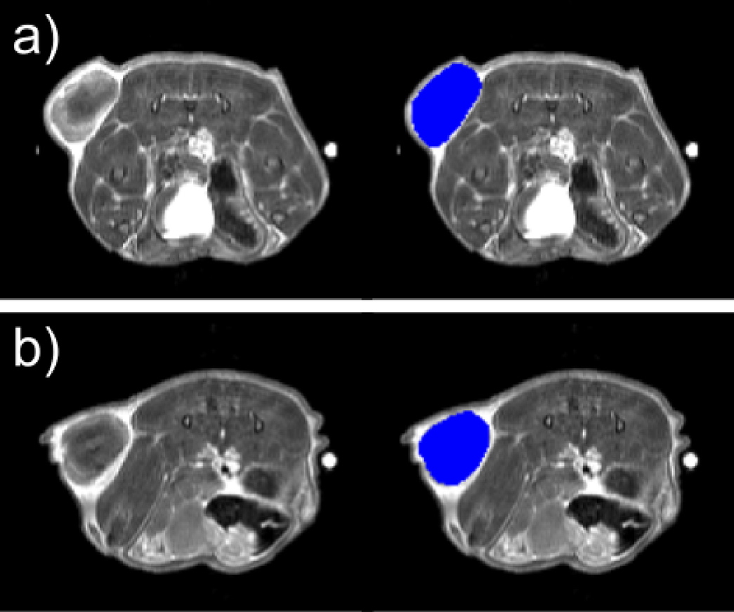
Fig. 2

A three-dimensional mask including the whole tumor was drawn before (Panel a) and after (Panel b) RFA treatment on axial 3D T2w RARE sequence.

A three-dimensional mask including the whole tumor was drawn before (Panel a) and after (Panel b) RFA treatment on axial 3D T2w RARE sequence.