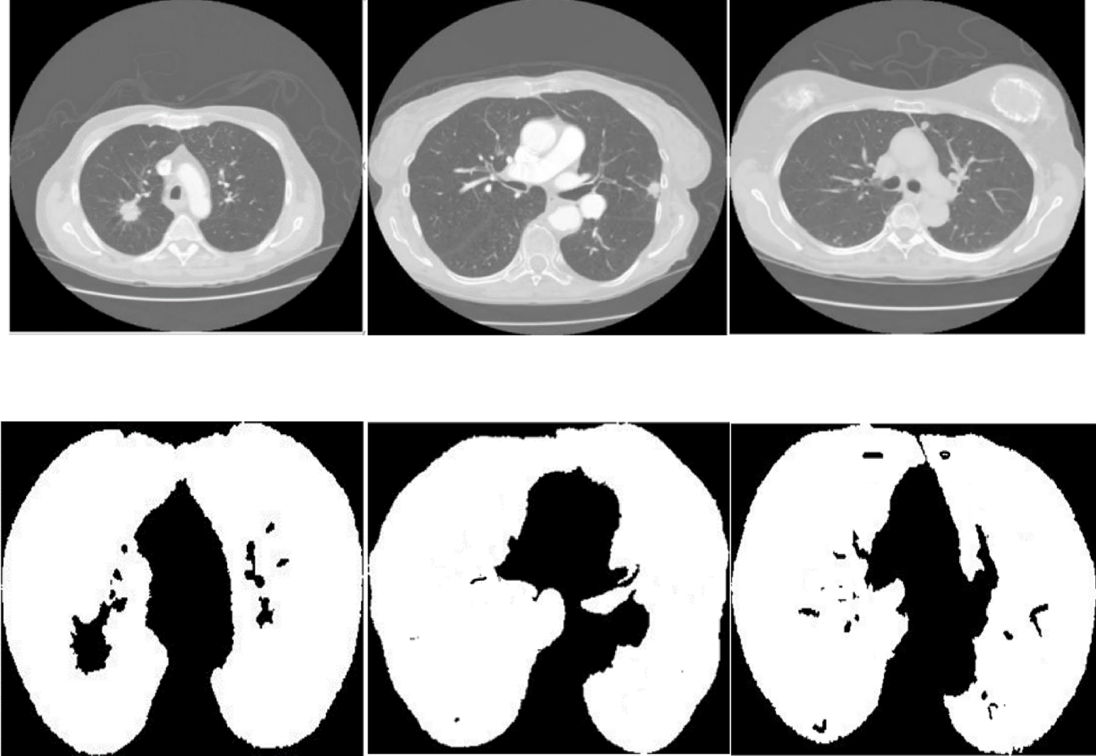
Fig. 13 | Scientific Reports