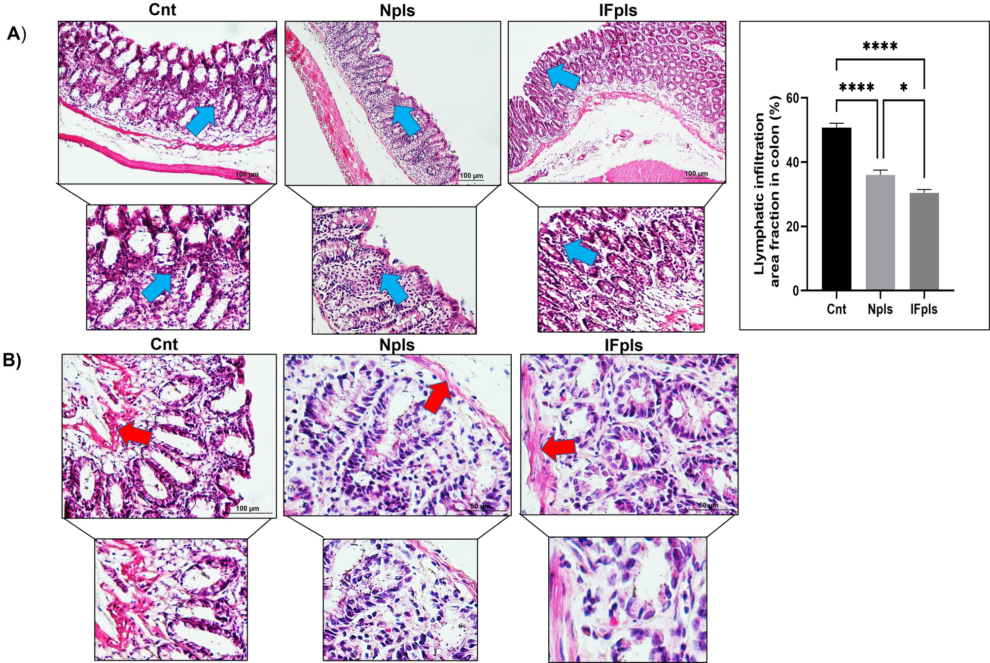
Fig. 5

Representative images of H&E staining and quantification of lymphatic infiltration area fraction (%) in all groups of colon sections (A). Aged rats colon show increased lymphatic infiltration, but IF plasma received aged groups improved these histopathological alterations. Representative images of H&E staining and degenerations of muscularis mucosa in all groups of colon sections (B). Remarkable necrotic degenerations were seen in the muscularis mucosal areas of the colon of aged mice, but IF plasma ameliorated these histopathological changes in the aged group. Red arrow shows muscularis mucosa. Areas in the H&E-stained microphotographs of all groups were magnified in the photos to which they belonged to the area of interest. Values are expressed as mean ± SEM; n = 7 rats in each group. p ≤ 0.01 **, and p ≤ 0.0001 **** (nonparametric Mann-Whitney U test). Scale bar = 100 μm. Cnt (control) group, IFpls (the group receiving plasma from rats undergoing intermittent fasting), and Npls (the group receiving plasma from untreated rats).