Fig. 6

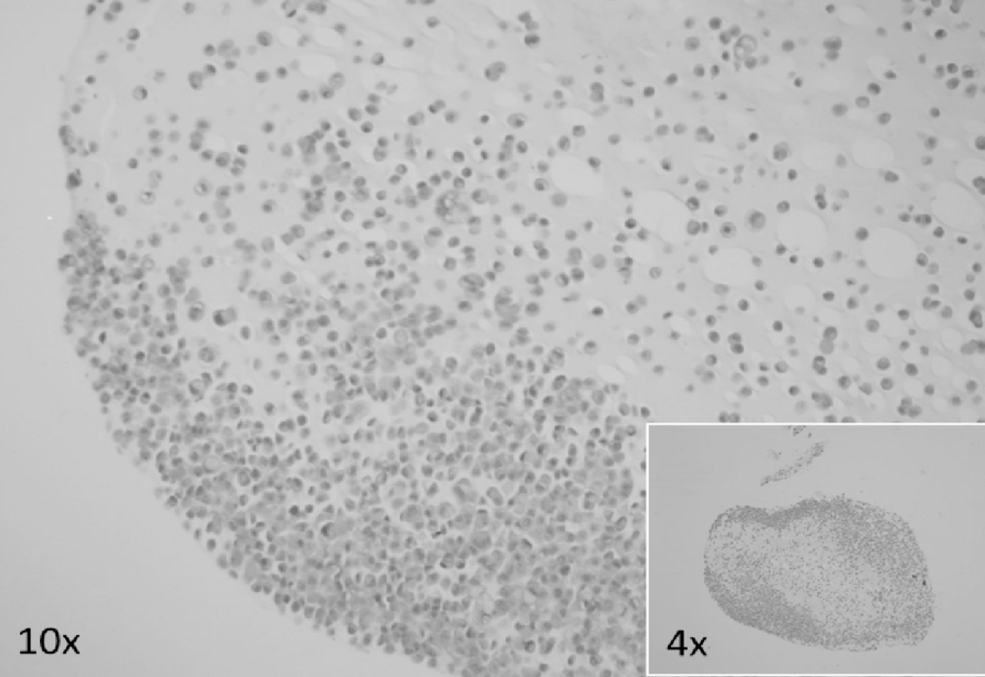
Alginate-encapsulated cell block slide containing IHG-MUC360 mucoepidermoid carcinoma cells stained with hematoxylin-eosin.

Alginate-encapsulated cell block slide containing IHG-MUC360 mucoepidermoid carcinoma cells stained with hematoxylin-eosin.