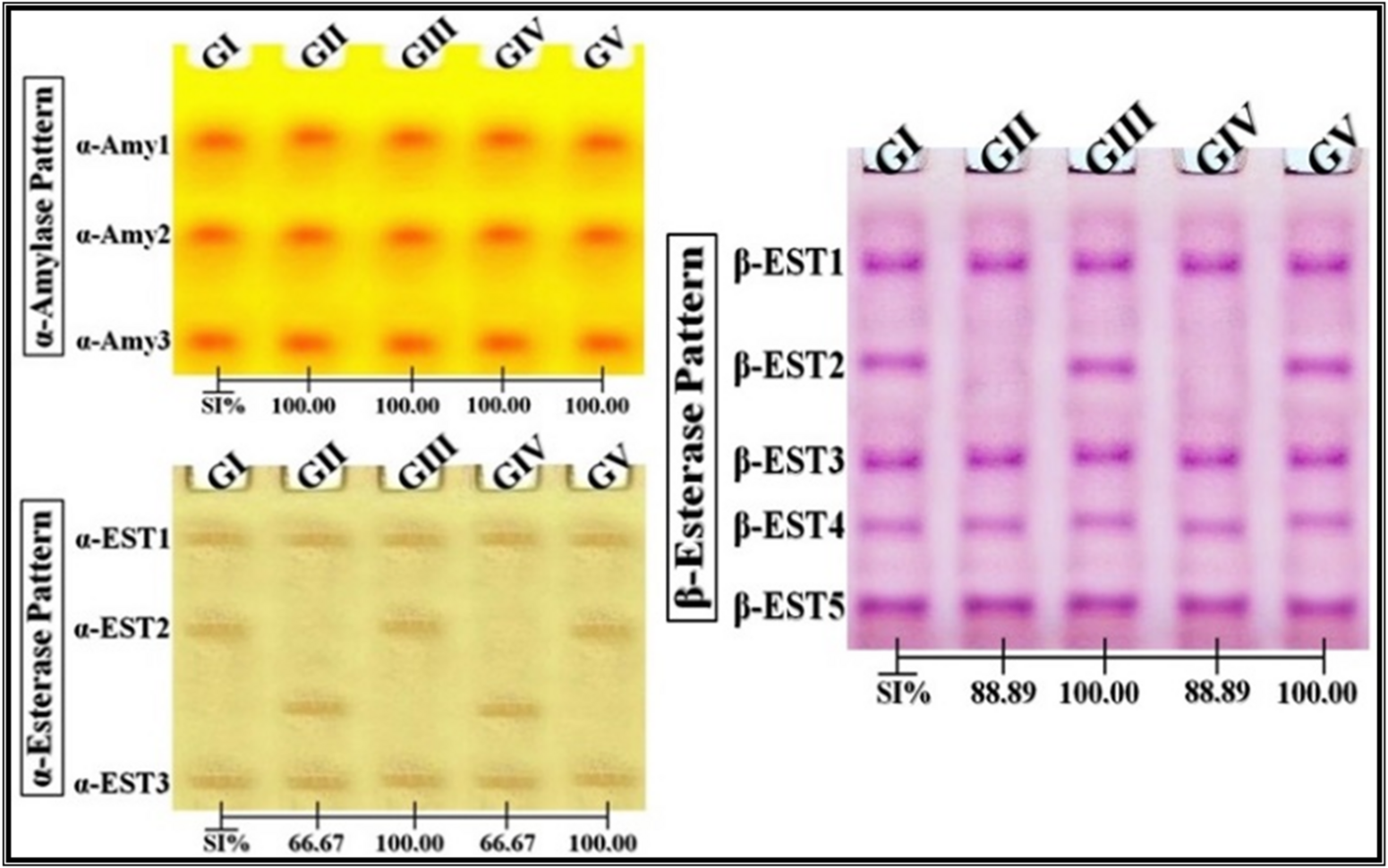
Fig. 5

Native electrophoretic isoenzymes patterns showing the effect of ZnO-NPs and Se-NPs on the physiological state of α-amylase (α-Amy), α-esterase (α-EST) and β-esterase (β-EST) in Egyptian Baladi goats, compared to conventional ZnO and Se. GI: Goats control, GII: Goats received ZnO, GIII: Goats received Se, GIV: Goats received ZnO-NPs, GV: Goats received Se-NPs.