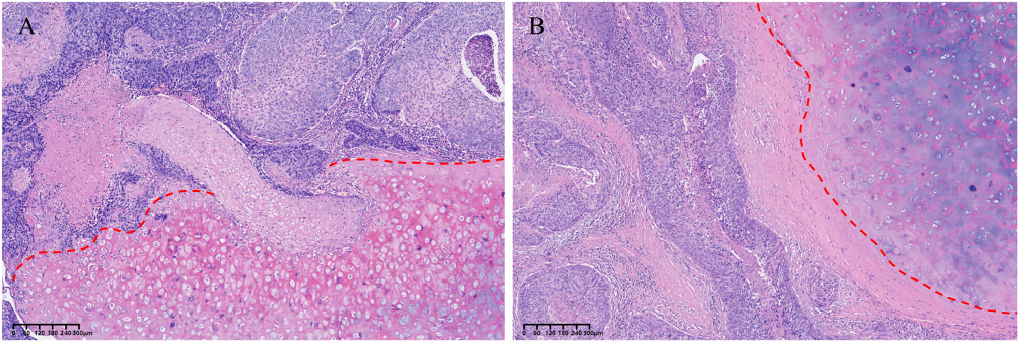
Fig. 2

Thyroid cartilage invasion was evaluated on full sections of LSCC stained with H&E. Representative samples classified as with thyroid cartilage invasion (A) and without thyroid cartilage invasion (B). The red dashed line indicates the margin of the thyroid cartilage.