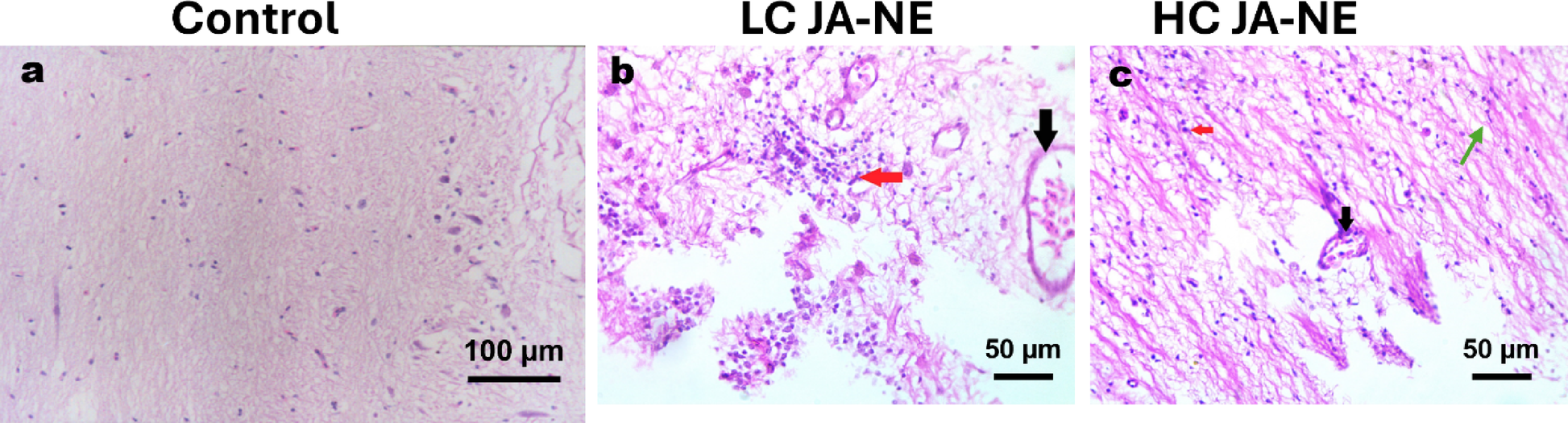
Fig. 6

Photomicrograph of histological sections on the brains of Nile tilapia (Oreochromis niloticus). (a) control group was conducted without any substance. The brains of Oreochromis niloticus exposed to low concentration (5%) of JA-NE (b), and high concentration (10%) of JA-NE (c), showing congestion of minute blood capillaries in the brain (black arrow) with diffuse gliosis (red arrow), vacuolar degeneration in neurons (green arrow). Hematoxylin and Eosin stain, scale bar: a: 100 µm, b, c: 50 µm (X400).