Fig. 3
From: Discovery of a Proteolysis Targeting Chimera for TRKA and RET-derived oncoproteins

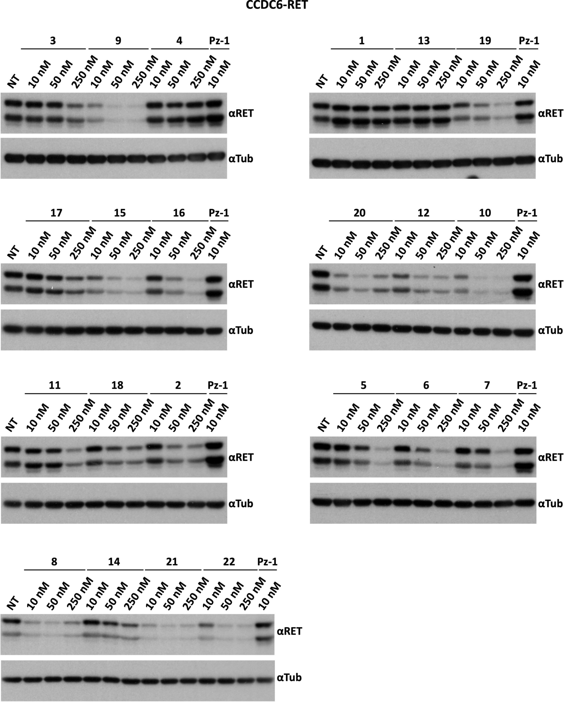
Pz-1-based PROTACs activity on CCDC6-RET. TPC1 cells were treated with the indicated PROTACs or Pz-1 for 12 h at the indicated concentrations. Cells were harvested, and extracts were subjected to Western blotting with anti-RET antibody. Tubulin was used as a loading control.