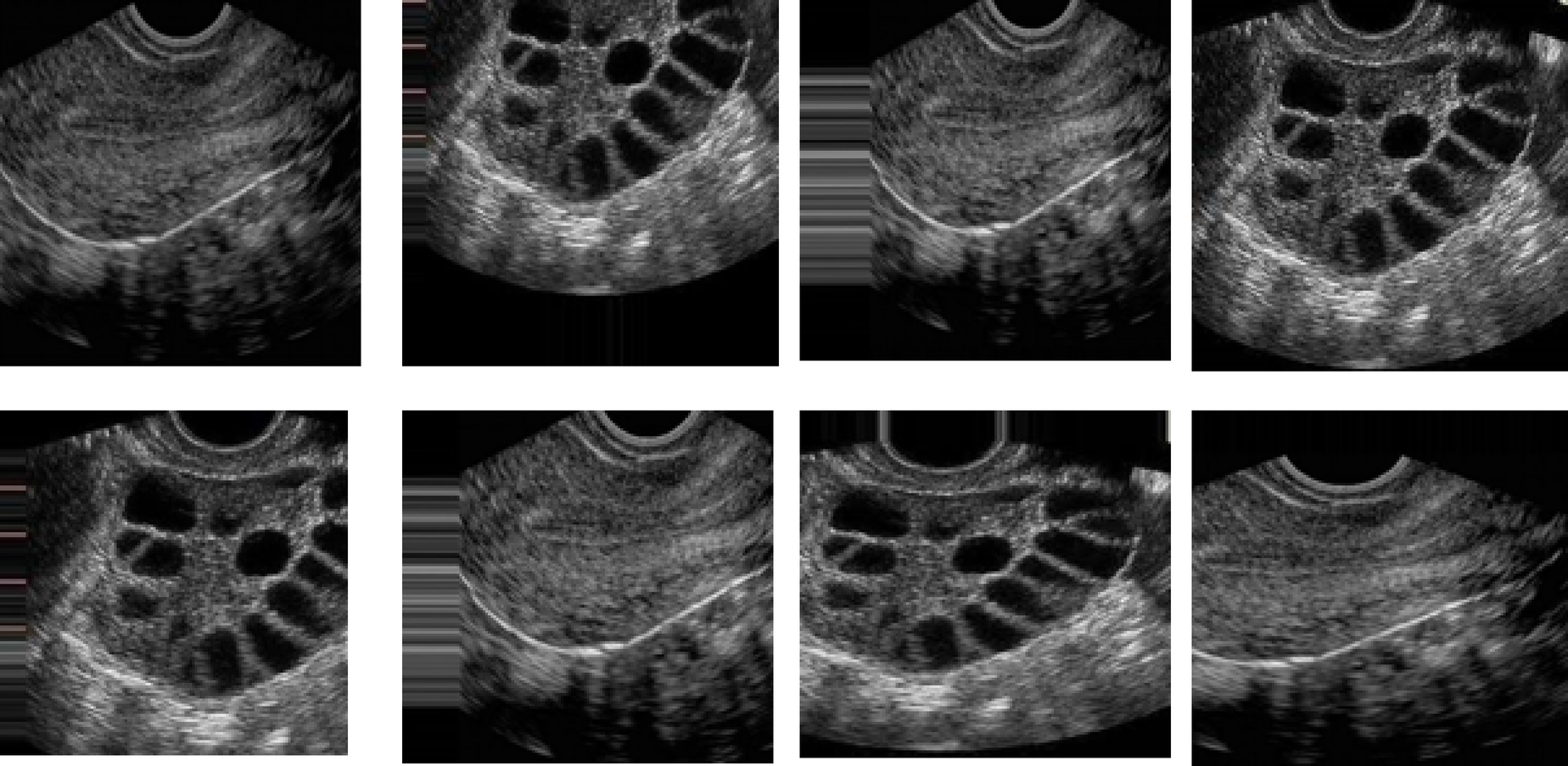
Fig. 8
From: Feature fusion context attention gate UNet for detection of polycystic ovary syndrome

Sample PCOS Ultrasound Dataset Images.
From: Feature fusion context attention gate UNet for detection of polycystic ovary syndrome

Sample PCOS Ultrasound Dataset Images.