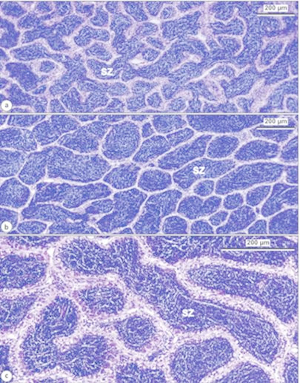
Fig. 1

Testes of wild diploid and triploid males of Carassius gibelio. On the basis of identical histology documented in the plate, representatives of both diploid (a) and triploid males (b) included in the study were assigned to the spent reproduction class sensu45. (c) Seminiferous tubules and germinal epithelium seen in higher magnification. SZ: spermatozoa.