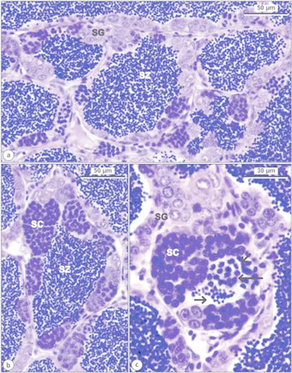
Fig. 2

Testes of laboratory-reared genotypic diploid and temperature-induced triploid males of Carassius gibelio (a-c). On the basis of histology, representatives of both diploid and induced triploid males included in the study were assigned to the maturing (early/advanced) reproduction classes sensu Brown‐Peterson et al.45. Legend: SG: spermatogonia, SC: spermatocytes, arrows highlight spermatids, SZ: spermatozoa.