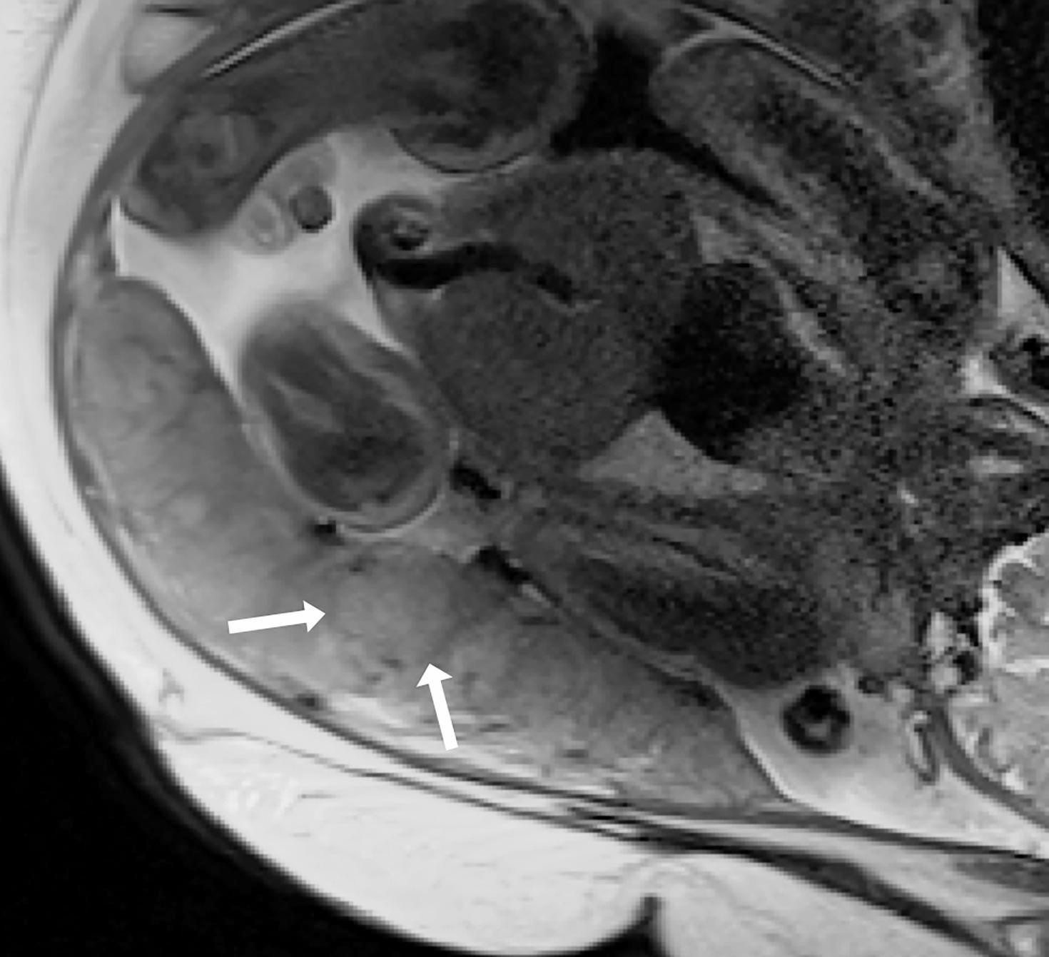
Fig. 1
From: Placental MRI texture features in prenatal exposure to opioids and tobacco

Half-Fourier Single-shot Turbo spin-Echo (HASTE) through the placenta showing the placental cotyledon surrounded by connective tissue, septa, seen as hypointense lines (arrow).