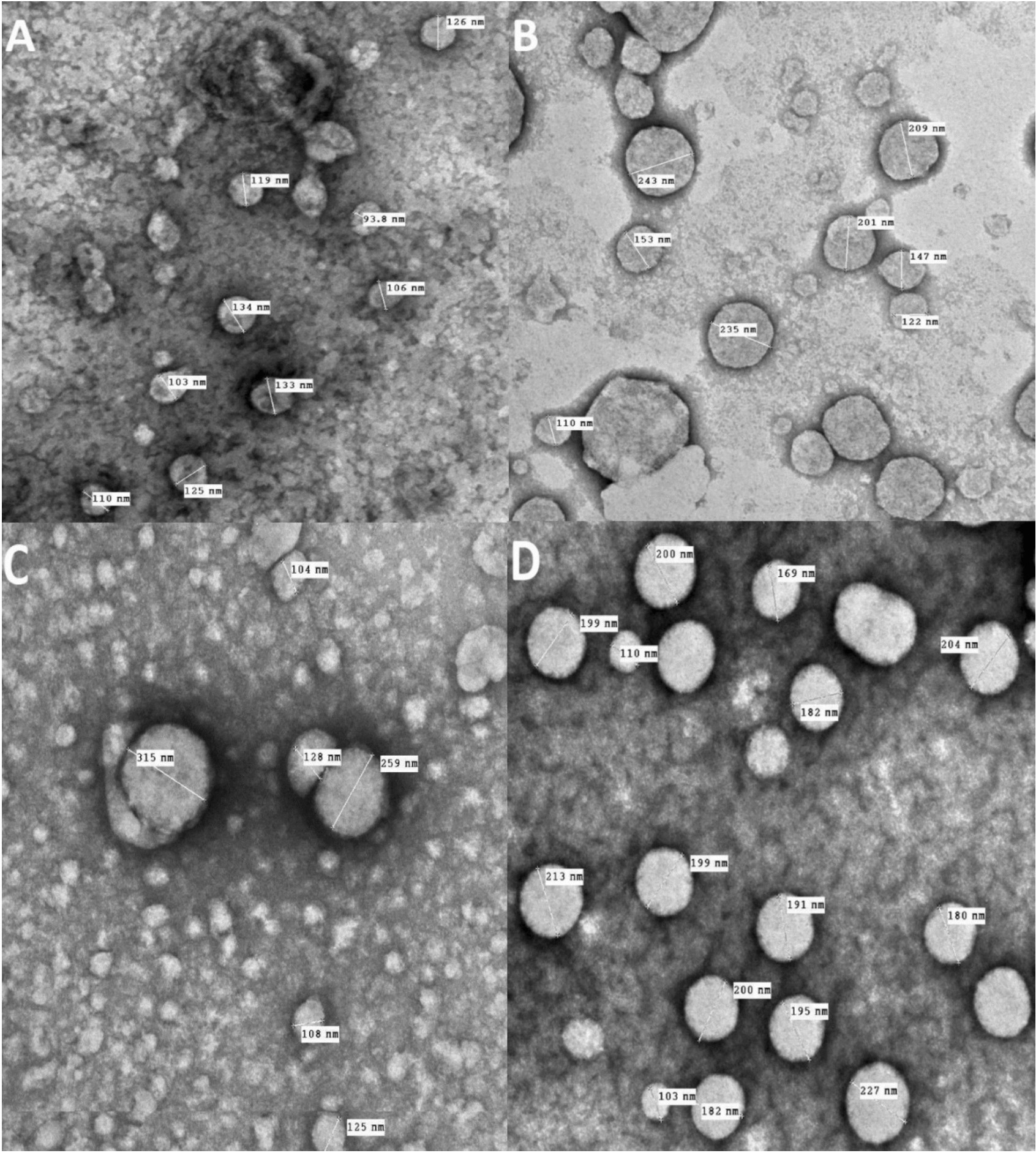
Fig. 3
From: Liposomal co-delivery of β-carotene and doxorubicin for enhanced colorectal-cancer therapy

TEM images for empty liposomes (A), β-carotene-loaded liposomes (B), Doxorubicin-loaded liposomes (C) and Doxorubicin combined with β-carotene into liposomes (D).