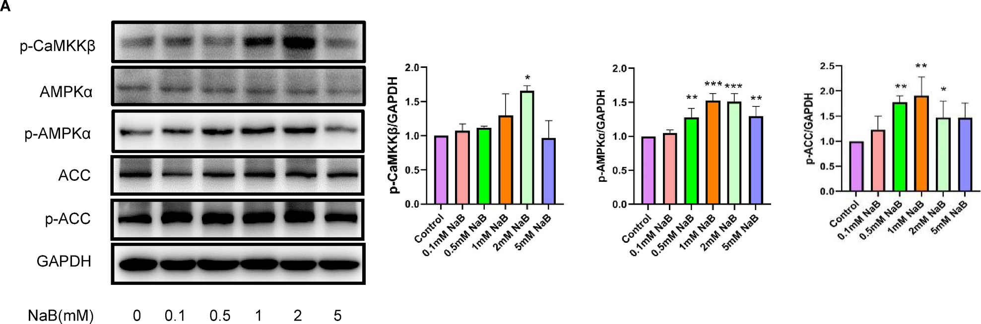
Fig. 2

Activation of CaMKKβ, AMPK, and ACC by NaB in colorectal cancer cells. HT29 cells were treated with NaB at concentrations of 0.1, 0.5, 1, 2, and 5 mM for 2 h. Western blotting and densitometry were then used to evaluate the expression levels of AMPKα, p-AMPKα, p-CaMKKβ, ACC, and p-ACC. * P < 0.05; **P < 0.01 vs. control.