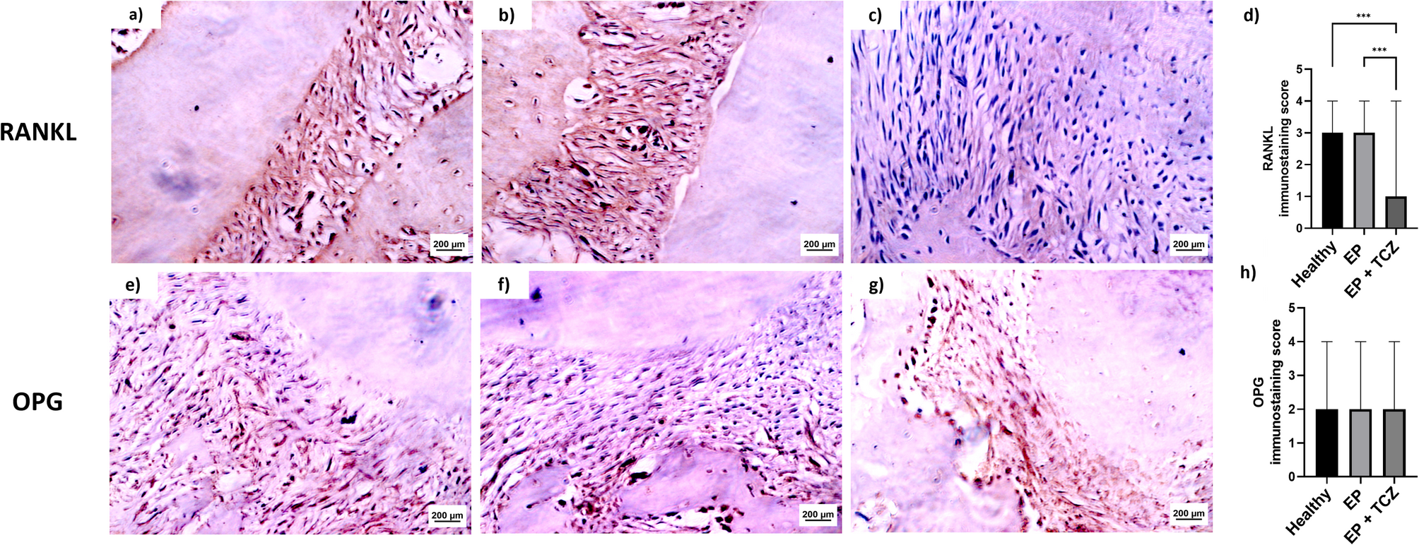
Fig. 6

Immunohistochemical analysis. Photomicrographs of periodontal tissue in the interproximal regions of the maxillary second molars showing immunoreactivity to RANKL (a) healthy group; (b) experimental periodontitis group; (c) experimental periodontitis + Tocilizumab group; and OPG (e) healthy group; (f) experimental periodontitis group; (g) experimental periodontitis + Tocilizumab group. Graphs represent the medians of immunohistochemical scores for (d) RANKL and (h) OPG. ***p < 0.001. (Kruskall-Wallis test followed by Dunn’s test). Healthy, healthy group; EP, experimental periodontitis; EP + TCZ, experimental periodontitis + Tocilizumab. Magnification: 630X. Bar = 200 μm.