Fig. 5
From: Maltose metabolism in serum free CHO culture involves lysosomal acid α-glucosidase

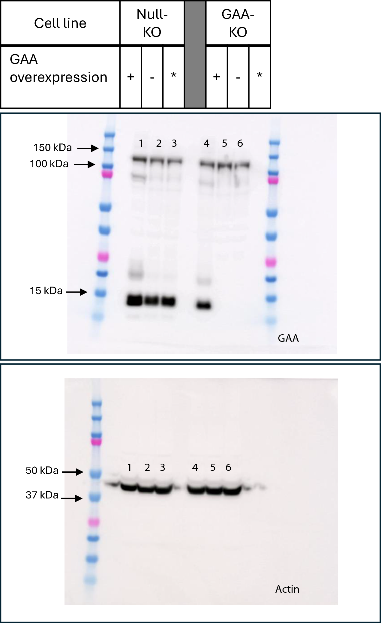
Verification of GAA protein expression via Western blotting. Cell lysate was harvested from GAA-KO and null-KO cells transiently transfected with ( +) GAA or (-) null plasmids, and subsequently analysed using Western blotting. * Denotes untransfected cells. GAA-KO cells have protein sequences disrupted from approximately AA350. The primary antibody (Abcam ab137068) used recognizes the human GAA sequence between AA170 and AA200, which has about 80% sequence homology with CHO GAA. Bands detected below 15 kDa were observed for the null-KO and for cells overexpressing GAA, but not for the null-transfected and untransfected GAA-KO cells. The band above 100 kDa was present for all samples regardless of whether GAA is knocked out or overexpressed. Protein loading was determined via actin detection at around 42 kDa on a separate gel loaded with the same samples and processed in parallel, and was similar across all samples.