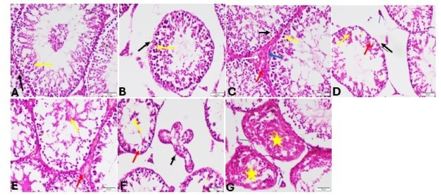
Fig. 12

Testis sections stained by H&E for sedentary rats. (A): Control group showing normal histological structure of testis intact seminiferous tubule (black arrow), normal germinal layers (yellow arrow) and normal Leydig cell (blue arrow) (B and C): Stanz group (B) showing necrosis of germinal layers (yellow arrow) and undulating basement membrane of seminiferous tubules (balack arrow) as well as degeneration of leyding cell (blue arrow). (C) showing degeneration of germinal cells (yellow arrow), congested blood vessels (red arrow) and edema (red star). (D and E) Cann group showing necrosis of germinal layers (yellow arrow) and undulating basement membrane of seminiferous tubules (black arrow) as well as degeneration of leyding cell (blue arrow) (E): degeneration of germinal cells (yellow arrow), congested blood vessels (red arrow). (F and G) combined group showing evacuation of all seminiferous tubules from germinal epithelium (yellow star), undulating basement membrane (black arrow), atrophy of Leydig cells (blue arrow) and wide interstitial space (red arrow) (G): degeneration of all seminiferous tubules and all germinal layers (yellow stars)