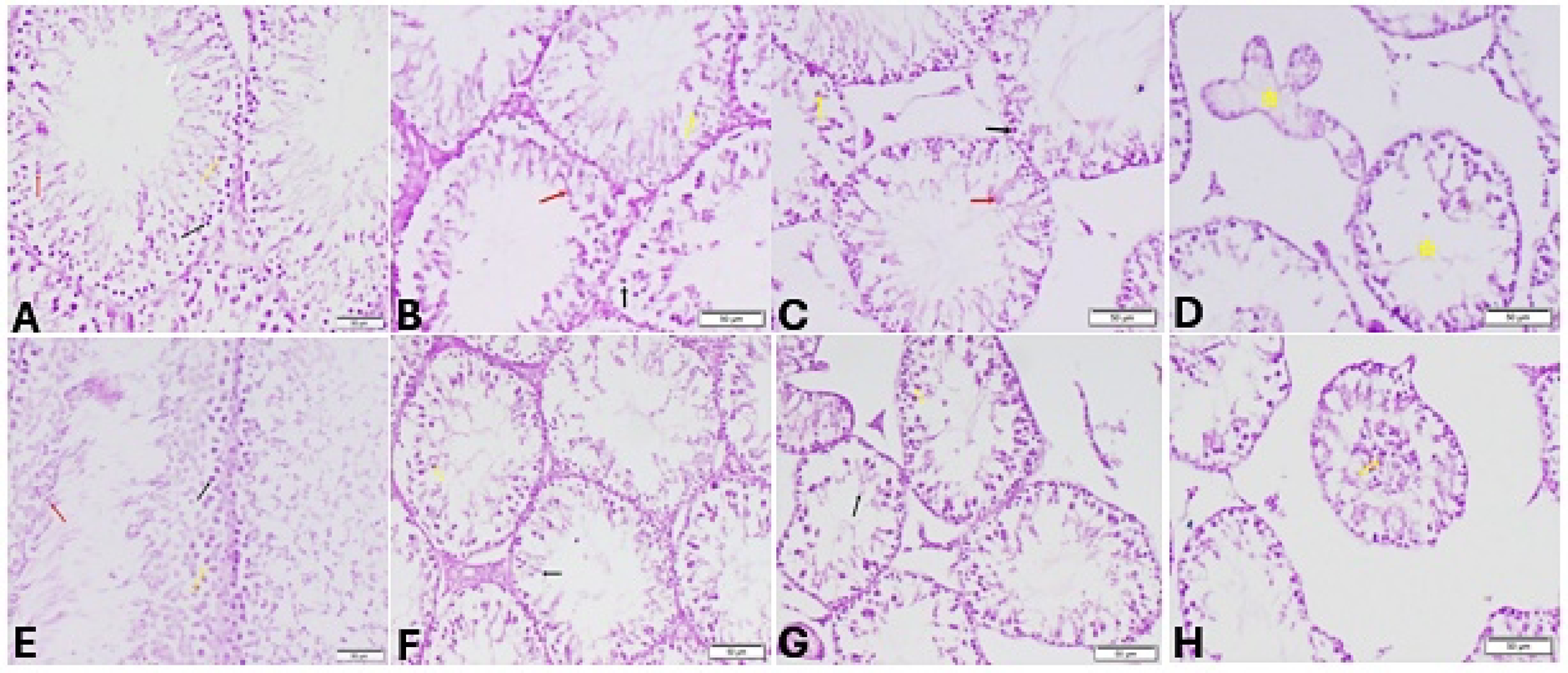
Fig. 14

Testis sections stained by Periodic acid-Schiff (PAS) staining for sedentary (A–D) and trained (E–H) rats. Sedentary groups: (A) Control group (sedentary) showing normal spermatogonia (black arrow), spermatocytes (yellow arrow), round (red arrow) and elongated spermatids (white arrow), (B): Stanz group Showing degeneration of pachytene spermatocytes (yellow arrow) and elongated spermatids (red arrow), (C) Cann group showing degeneration of spermatogenic cell (black arrow) pachytene spermatocytes (yellow arrow) and elongated spermatids (red arrow). (D) Combined group showing absence of all germinal layers (yellow star). Trained groups: (E) Control group trained Showing normal spermatogonia (black arrow), spermatocytes (yellow arrow), round and elongated spermatids (red arrow). (F): Stanz group showing degenerated round (yellow arrow) and elongated spermatids (black arrow). (G) Cann group Showing degenerated spermatocyte (yellow arrow), and degenerated elongated spermatids. (H) Combined group Showing distorted elongated spermatids with exfoliated germinal cells (yellow arrow).