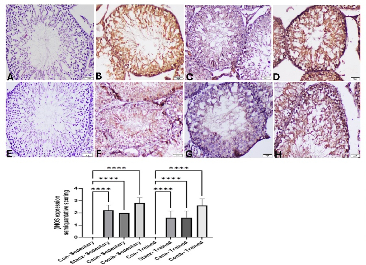
Fig. 16

Testis sections of iNOS immunoexpression in testis sections of sedentary (A-D) and trained (E-H) rats. Sedentary groups: (A) Control group showing no iNOS expression, (B): Stanz group, Numerous strong positively stained cells in testicular tissue. (C): Cann group showing remarkable increase of iNOS expression of all germ cells. (D): Combined group Intense brown staining of spermatogonia and spermatocytes. trained groups: (E): Control group showed no iNOS expression, (F): Stanz group Moderate cytoplasmic staining of germ cell. (G): Cann group Scattered weakly stained spermatocytes cells, and (H): Combined group Abundant positively spermatogonia, spermatocytes, spermatids, Sertoli cells, and Leydig cells. The bar graph represents the score of stained tissue and expressed as mean ± SEM, significance at p < 0.05 using one-way ANOVA followed by Tukey’s multi-comparison test (n = 6).