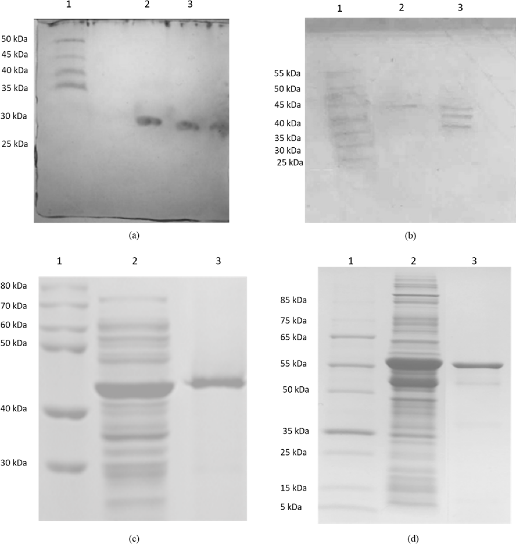
Fig. 5
From: Multi enzyme production and alginate encapsulation from Bacillus subtilis for stable feed additives

Characterization of (a) protease, (b) lipase, (c) cellulase, and (d) amylase through SDS-PAGE analysis. (a, c & d) Lane-1: Protein ladder (molecular weight markers in kDa), Lane-2: crude enzyme, and Lane-3: purified enzyme. (b) Lane-1: Marker proteins (kDa), Lane-2: purified enzyme, and Lane-3: crude enzyme.