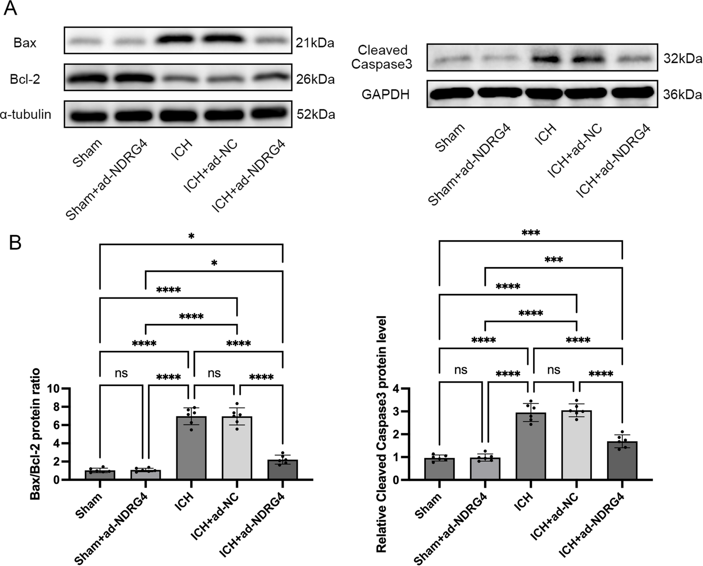
Fig. 6

NDRG4 overexpression is associated with changes in apoptosis-related protein expression at 24 h after ICH. (A) Representative Western blots of Bax, Bcl-2, and cleaved caspase-3 (blots for Bax/α-tubulin, Bcl-2/α-tubulin, and cleaved caspase-3/GAPDH were obtained from the same gel under a single exposure). (B) Quantitative analysis of the Bax/Bcl-2 ratio and cleaved caspase-3 expression (n = 6/group). One-way ANOVA with Tukey’s post-hoc test was used for comparisons. Data are presented as mean ± SD. * p < 0.05, *** p < 0.001, ****P < 0.0001.