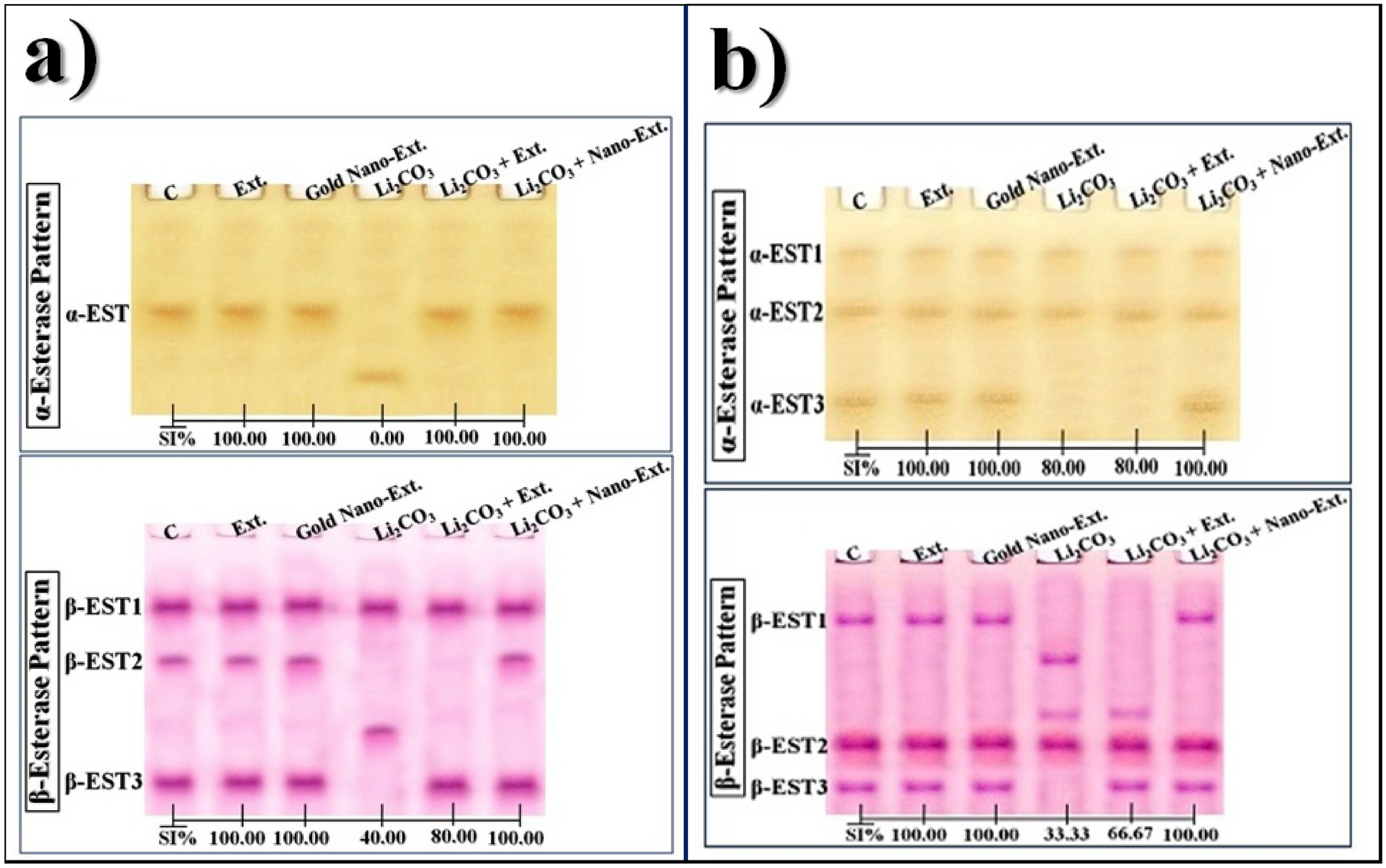
Fig. 9

Effect of gold nanoparticles (Au-NPs) biosynthesized by N. oculata algal extract against the physiological alterations induced in the electrophoretic α- and β- esterase (EST) isoenzymes patterns by lithium carbonate (Li2CO3) in (a) kidney, and (b) brain tissues of rats.