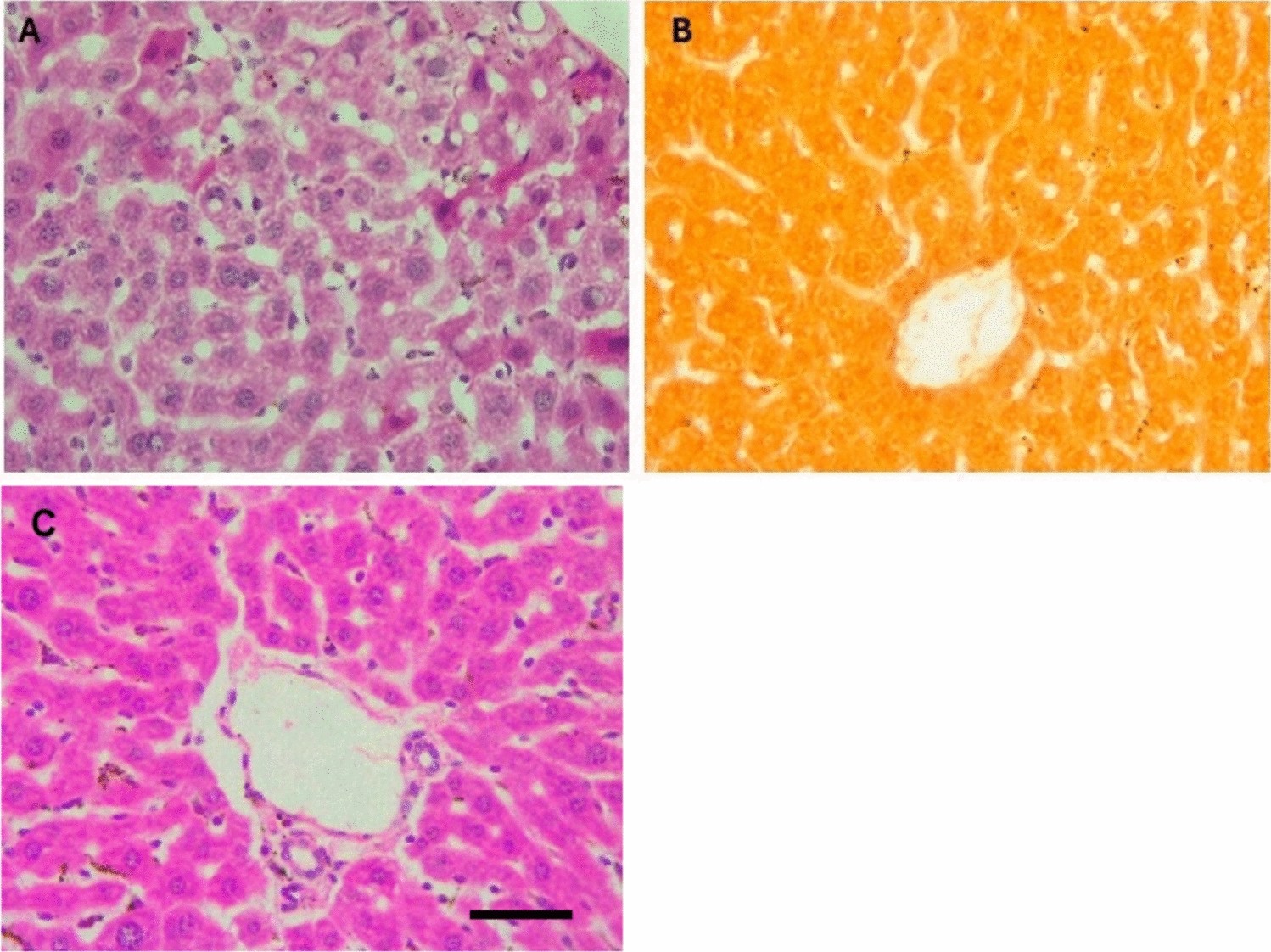
Fig. 4

Histology of mice liver after taking the Fetuin-A followed by toxic dose of Vit D, (A) H&E showing fatty degeneration of hepatocytes, occasional signet ring cells, Occasional cytoplasmic eosinophilia and sparce inflammation was also noted in the hepatocyte demonstrating reversible injury, (B) Alizarin Red showing sparse calcification in hepatocytes, (C) Portal Vein diameter (widest area = 3.2mm) (× 40).