Fig. 5

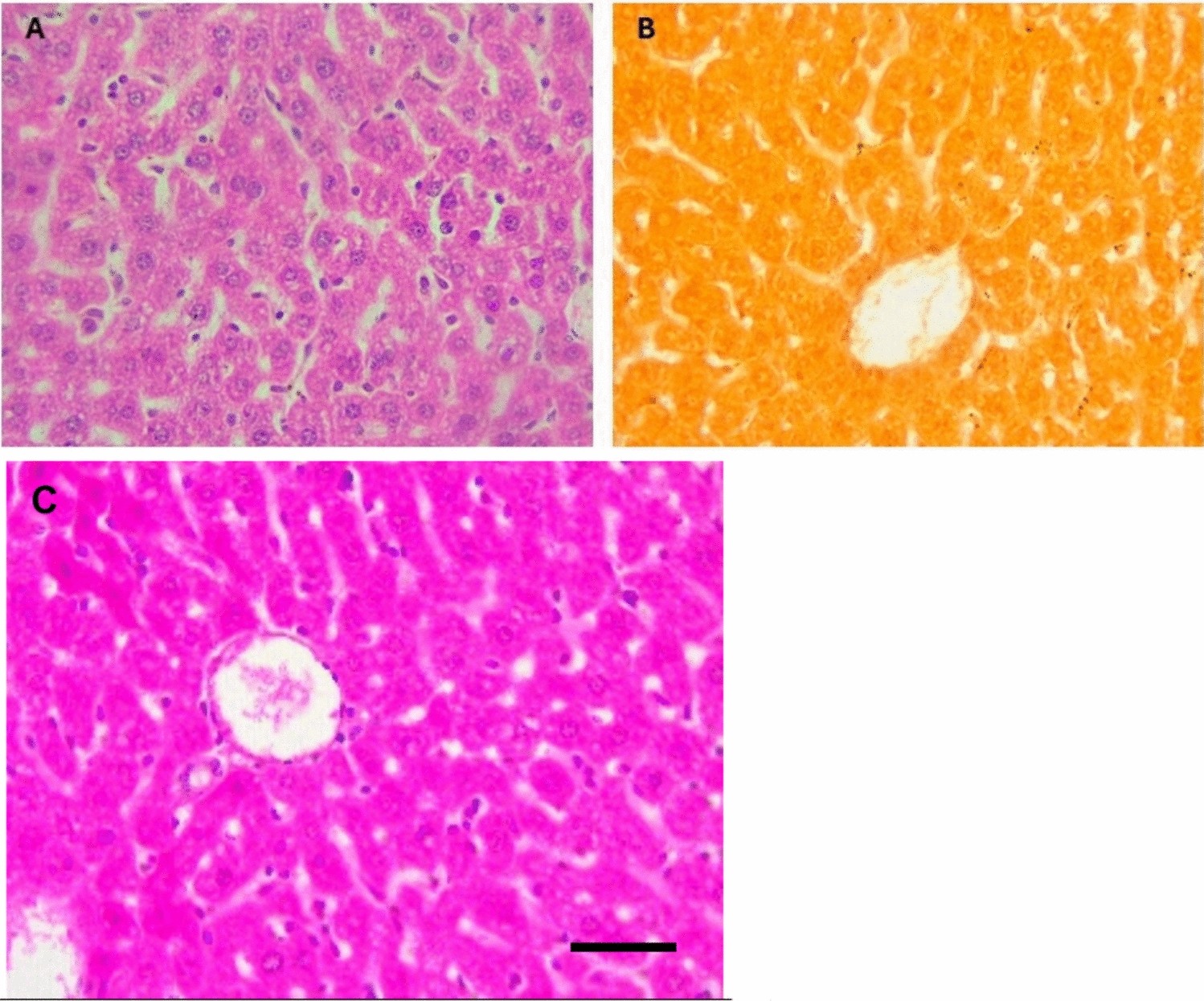
Histology of mice liver after taking the Fetuin-A only, (A) H&E showing mild fatty degeneration of hepatocytes, (B) Alizarin Red showing no calcification in hepatocytes, (C) Portal Vein diameter (widest area = 2.1mm) (× 40).

Histology of mice liver after taking the Fetuin-A only, (A) H&E showing mild fatty degeneration of hepatocytes, (B) Alizarin Red showing no calcification in hepatocytes, (C) Portal Vein diameter (widest area = 2.1mm) (× 40).