Fig. 8

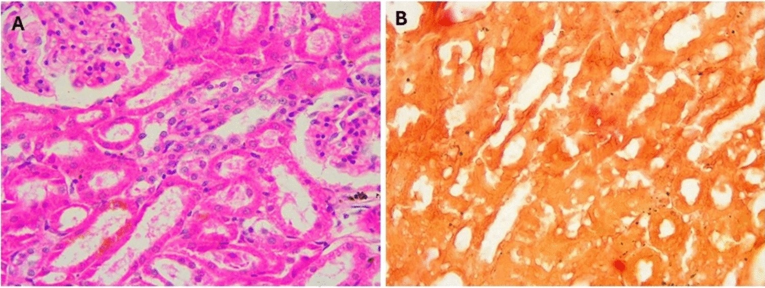
Histology of mice kidney after taking the Fetuin-A followed by toxic dose of Vit D, (A) H&E showing minimal inflammation, Epithelial degeneration, Hyaline casts, (B) Alizarin Red showing minimal calcification, High Power (× 40).

Histology of mice kidney after taking the Fetuin-A followed by toxic dose of Vit D, (A) H&E showing minimal inflammation, Epithelial degeneration, Hyaline casts, (B) Alizarin Red showing minimal calcification, High Power (× 40).