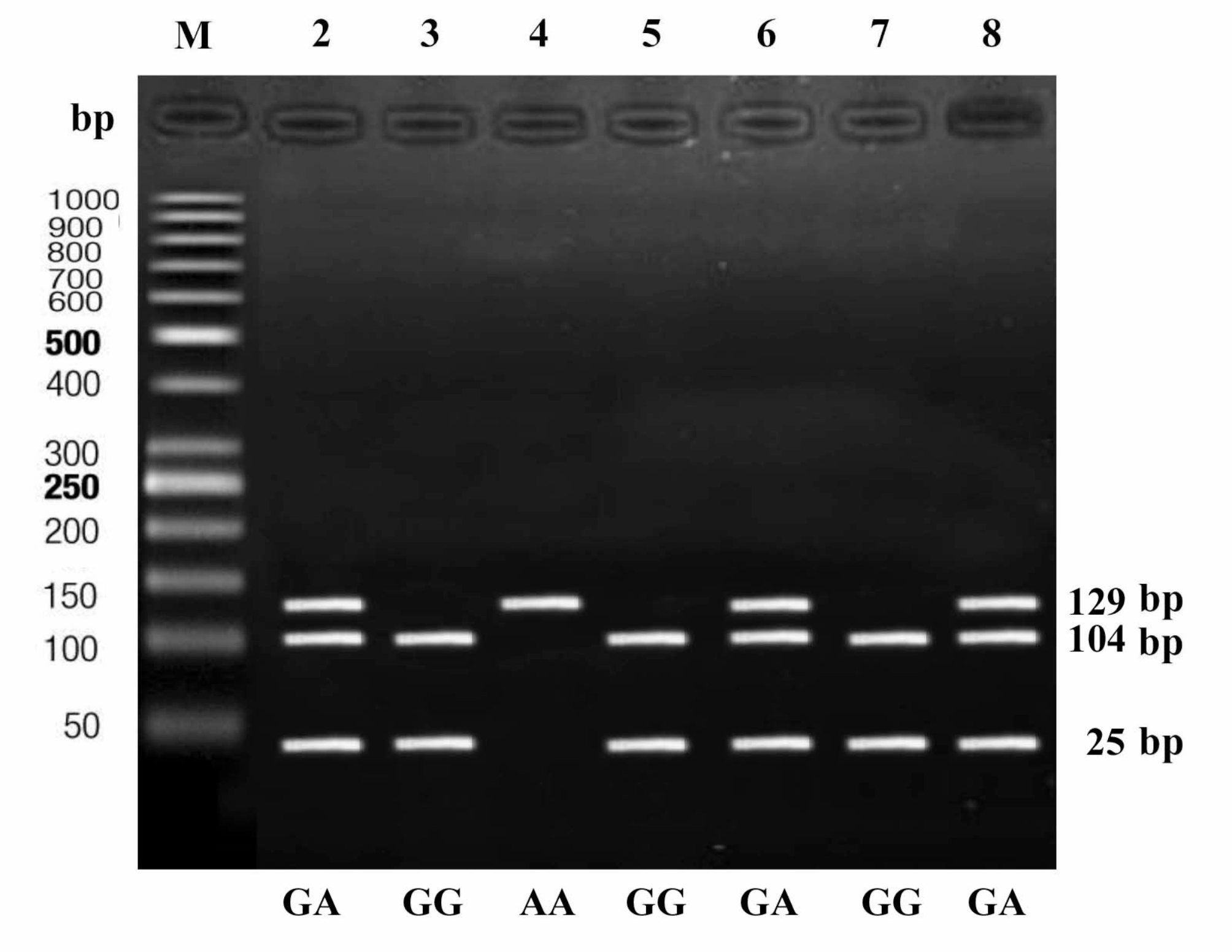
Fig. 1

Gel electrophoresis of obesity group samples illustrating different TLR2 (Arg753Gln) genotypes by PCR-RFLP. Lane M: DNA Ladder (1000 bp). The homozygous GG genotype (lanes 3,5,7) of the TLR2 Arg753Gln (rs5743708) showed two bands at 104 bp and 25 bp, while an uncut band indicated the homozygous AA genotype (lane 4) at 129 bp. Three bands at 129,104 bp, and 25 bp indicated the heterozygous GA genotype (lanes 2,6,8).