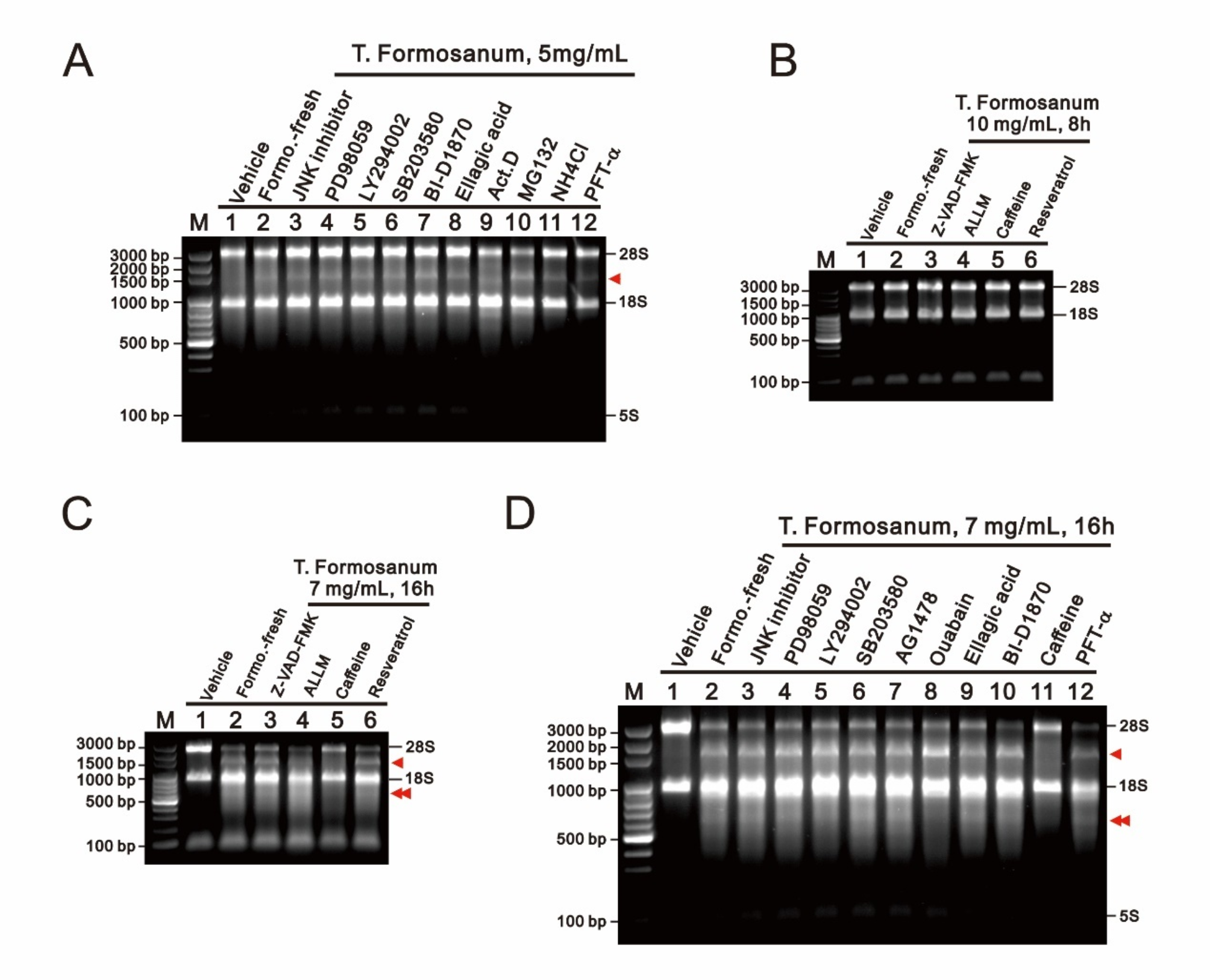
Fig. 4

The drug screening procedure was to rescue the cleavage of 18S and 28S rRNA by T. formosanum in HeLa cells. (A-D) HeLa cells were treated for the indicated concentrations of T. formosanum and various potential drugs treated with indicated time, after which their cell lysates were subjected to total RNA agarose gel electrophoresis analysis. The red single-arrow is the cleaved 28S rRNA and the double-arrow is the cleaved 18S rRNA. M, bp: the molecular weight of rRNA.