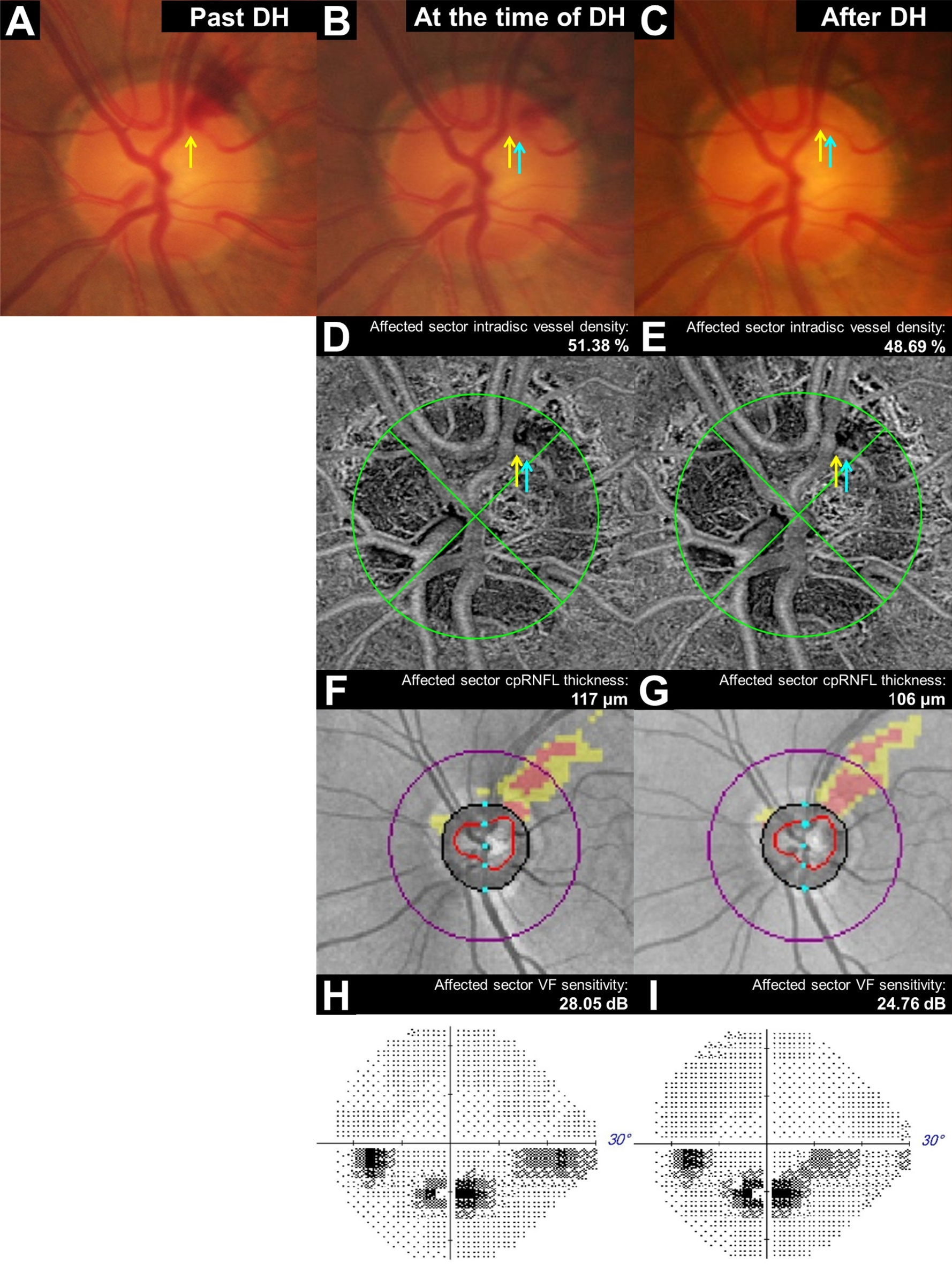
Fig. 4

A 57-year-old male with multiple recurrent episodes of disc hemorrhage (DH) in the superotemporal area of his left eye over five years of follow-up. Fundus photos represent previous (A), current (B), and post-absorption DH (C). The intradisc vessel density in the superior quadrant reduced from 51.38% (D) to 48.69% (E), the superior quadrant circumpapillary retinal nerve fiber layer (cpRNFL) thickness decreased from 117 μm (F) to 106 μm (G), and the inferior visual field (VF) sensitivity reduced from 28.05 dB (H) to 24.76 dB (I).