Fig.2
From: Evaluation of anterior fixed appliances on maxillary arch growth in preschool children

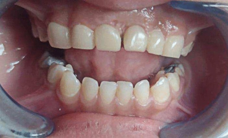
Rehabilitation of extraction site with modified fixed bridge.
From: Evaluation of anterior fixed appliances on maxillary arch growth in preschool children

Rehabilitation of extraction site with modified fixed bridge.