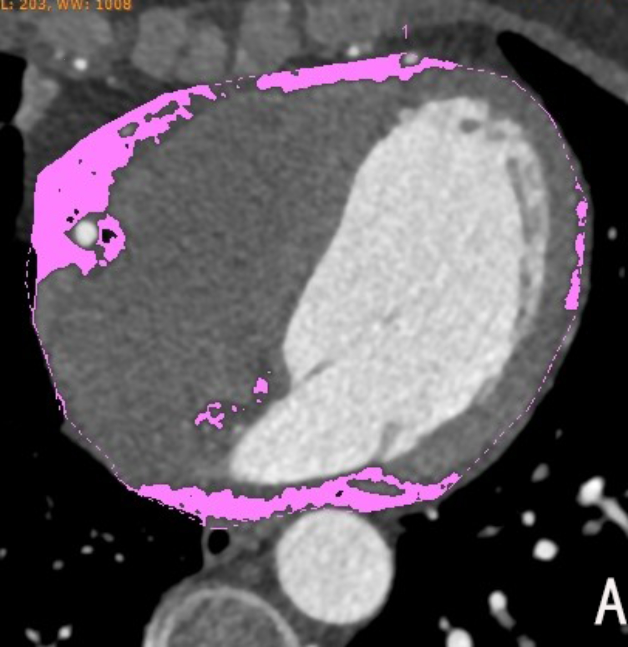
Fig. 1
From: Correlation analysis between epicardial adipose tissue and acute coronary syndrome

EAT volume and density measurement diagram. (A) Manual delineation of epicardial adipose tissue boundaries layer by layer, with the pink area showing the range of epicardial adipose tissue that meets the fat threshold; (B) EAT volume and average density values automatically calculated using Volume software.