Fig. 4
From: Cloning of nf-profilin and intercellular interaction with nf-actin in Naegleria fowleri cysts

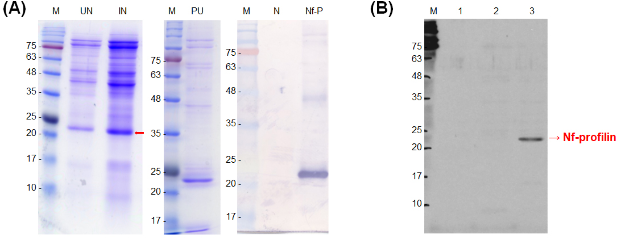
(A) Band patterns of SDS-PAGE and Western blot of the IPTG-induced recombinant protein (Nf-profilin). M, molecular weight marker; UN, uninduced E. coli lysate, IN, IPTG induced E. coli lysate; PU, purified recombinant Nf-profilin protein using Ni-NTA resin; N, normal mouse sera (1:1000); Nf-P, anti-Nf-profilin antibody (1:1000). (B) Cross reactivity of anti-Nf-profilin antibody. lane 1, A. castellanii; lane 2, A. polyphaga; lane 3, N. fowleri.