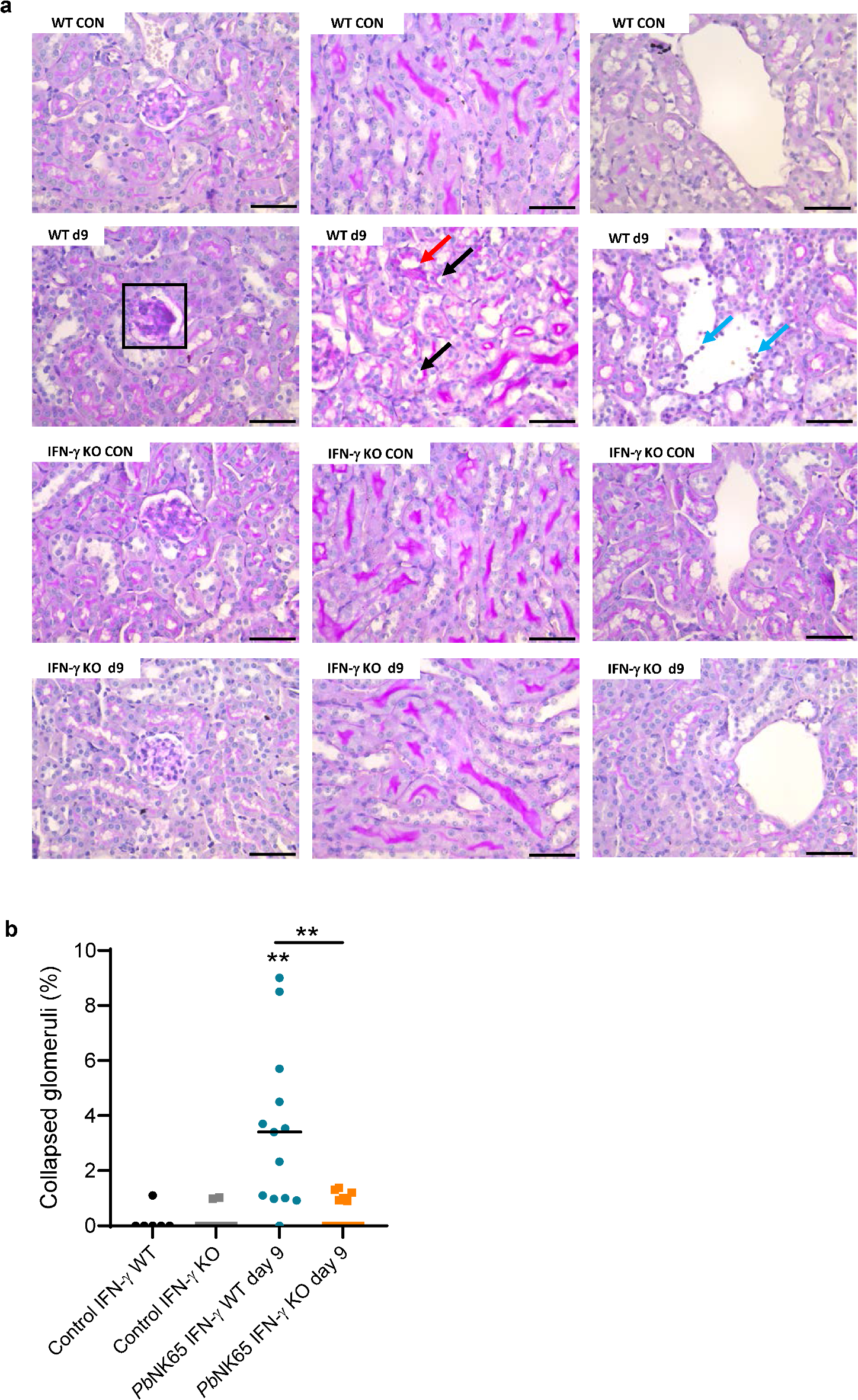
Fig. 2

Less glomerular collapse in PbNK65-infected IFN-γ KO compared to WT mice. (a) Kidney sections were stained with PAS. Representative images are shown (original magnification x40, bar = 50 μm). Black frames indicate collapse of glomerular tufts. Black arrows indicate vacuolization of proximal tubular epithelial cells, red arrows indicate loss of brush border of proximal tubular epithelial cells. Blue arrows indicate vascular leukocyte accumulations. (b) Percentage of glomeruli with collapsed glomerular tufts counted on PAS-stained kidney sections. Asterisks above data points indicate significant differences compared to control mice, **p < 0.01. Data of two experiments, Control IFN-γ WT: n = 6, Control IFN-γ KO: n = 8, PbNK65-infected IFN-γ WT d9: n = 13, PbNK65-infected IFN-γ KO d9: n = 15. Mann-Whitney U test with Holm-Bonferroni correction for multiple testing (number of tests = 4) was performed in panel b.