Fig. 2
From: Glaucocalyxin A alleviates ulcerative colitis by inhibiting PI3K/AKT/mTOR signaling

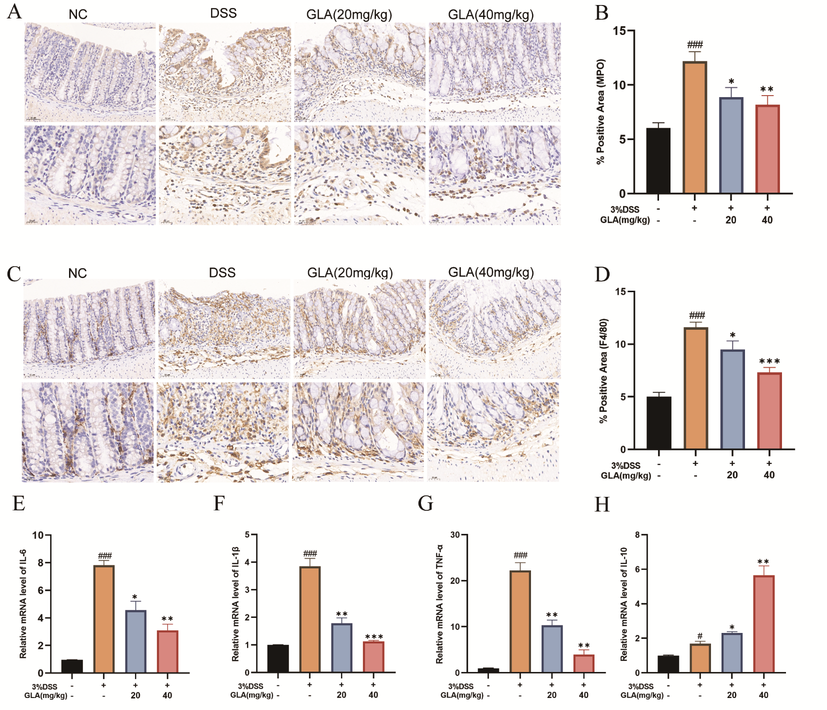
The effects of GLA on inflammatory cells in colitis in mice. (A) MPO immunohistochemical staining of different groups. (B) Comparison of the percentage of %positive area (MPO) between groups, indicating high and low neutrophil expression (*p < 0.05 and **p< 0.01 relative to the control). (C) Immunohistochemical staining of F4/80 in different groups. (D) Comparison of the percentage of %positive area (F4/80) between groups, indicating high and low macrophage expression. (E&H) Concentrations of inflammatory cytokines IL-6, IL-1β, TNF-α, and IL-10 in the colonic tissues of different groups. (###p < 0.05 and ##p < 0.01 relative to the NC group; *p < 0.05; **p < 0.01, and ***p < 0.001 relative to the DSS group).