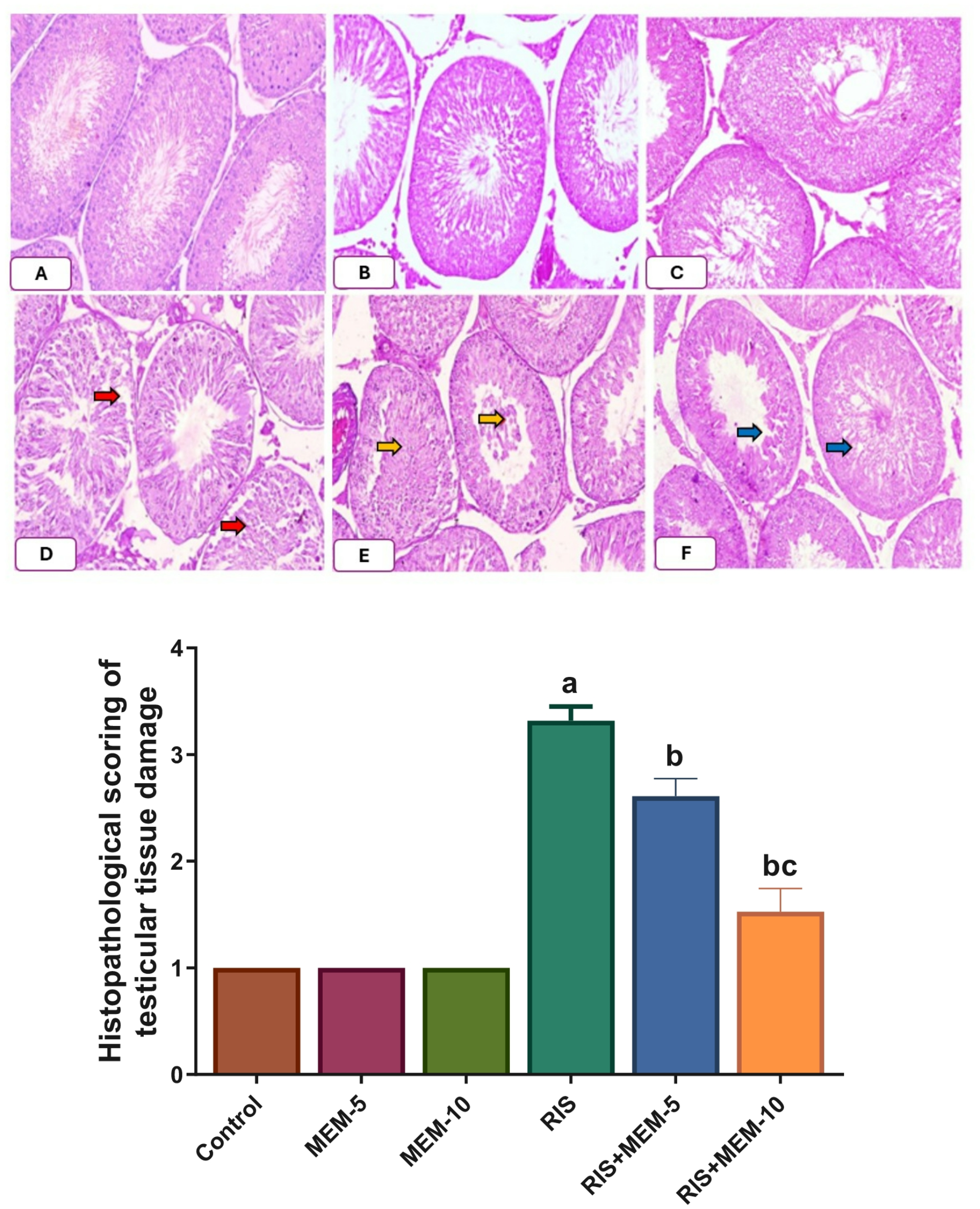
Fig. 5

Effect on histopathological picture of testicular tissue (x200) and scoring of testicular damage. (A, B, C); control, MEM-5, and MEM-10 groups respectively, showed normal seminiferous tubules, and normal germinal epithelium with normal interstitial cells of Leydig. (D): RIS group, red arrows refer to necrosis of both superficial and deep layers of the germinal epithelium lining closely packed seminiferous tubules. These tubular lumens were filled with amorphous material containing cellular debris. (E): RIS + MEM-5 group; yellow arrows refer to necrosis of superficial and deep layers of the germinal epithelium lining closely packed seminiferous tubules with the destruction of its basement membrane. These tubular lumens were filled with amorphous material containing cellular debris. (F): RIS + MEM-10 group; blue arrows refer to injury limited to superficial germinal layer in few seminiferous tubules, however, most seminiferous tubules are normal with normal germinal epithelium and Interstitial cells of Leydig are also normal. Results represent the mean ± SEM (n = 6). Significance is at p < 0.05. asignificant difference relative to the control group; bsignificance difference with respect to RIS group; csignificance difference against RIS + MEM-5 group.