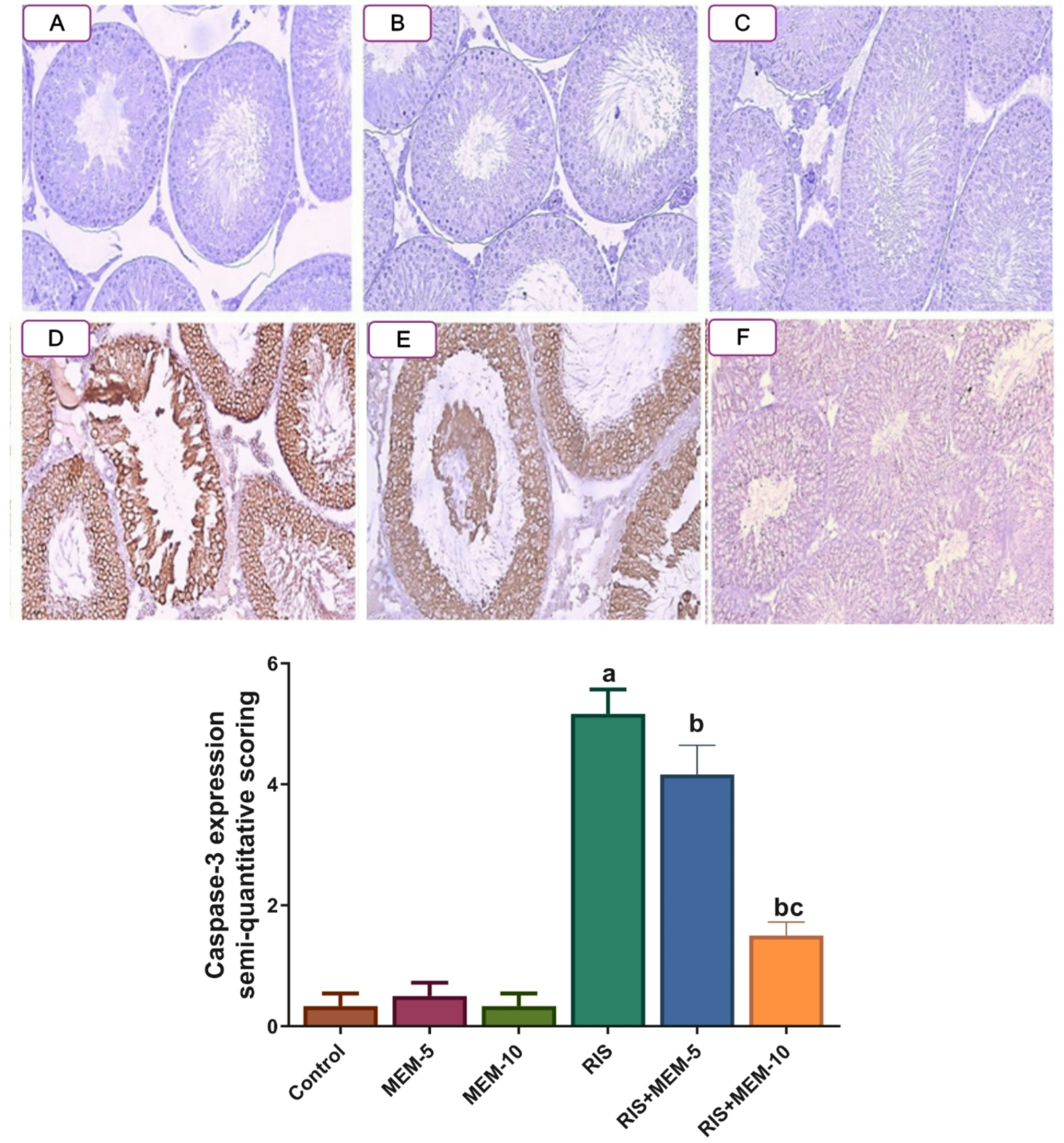
Fig. 6

Effect of MEM on caspase-3 immunoexpression in testicular tissue (x200), and its semi-quantitative scoring. (A, B, C); control, MEM-5 and, MEM-10 groups respectively, show negative expression of caspase-3. (D, E): RIS and RIS + MEM-5 groups, respectively, show strong expression of caspase 3. (F): RIS + MEM-10 group; show weak expression of caspase-3. Results represent the mean ± SEM (n = 6). Significance is at p < 0.05. asignificant difference relative to control group; bsignificance difference with respect to RIS group; csignificance difference against RIS + MEM-5 group.