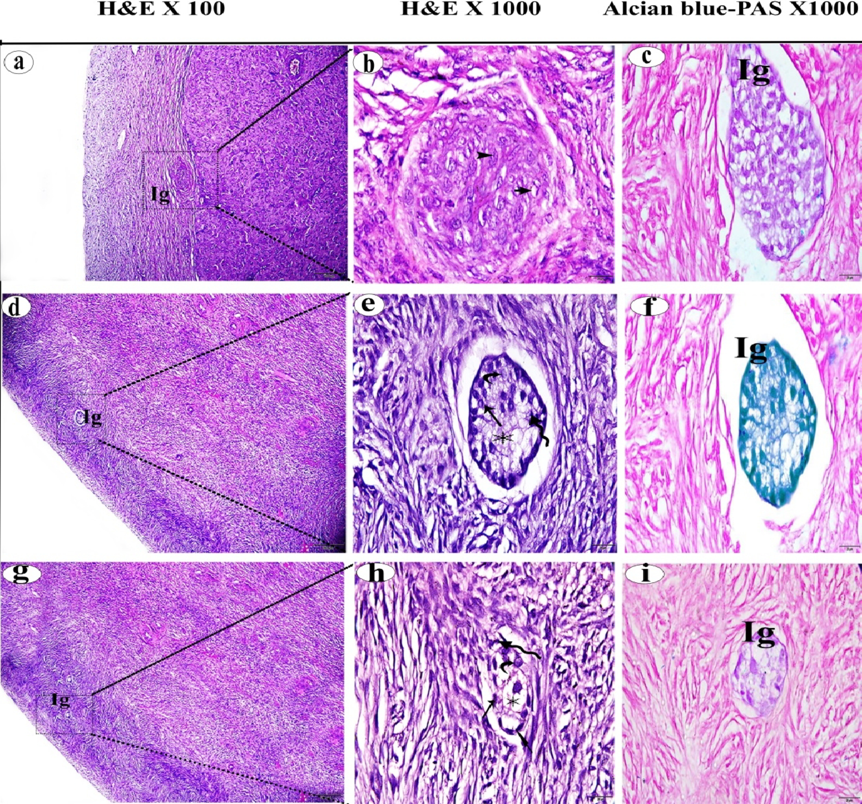
Fig. 4

(aāc) Photomicrographs of normal interstitial glands stained with H&E and PAS-Alcian blue, respectively. (dāf) Photomicrographs of interstitial glands of follicular cystic ovary stained with H&E and PAS-Alcian blue, respectively. (gāi) Photomicrographs of interstitial glands of luteal cystic ovary stained with H&E and PAS-Alcian blue, respectively. Interstitial gland (Ig), epithelial cells
, adipocytes
, pyknotic nuclei
, nuclear fragmentation
, nuclear fading (arrow) and apoptotic cells
.