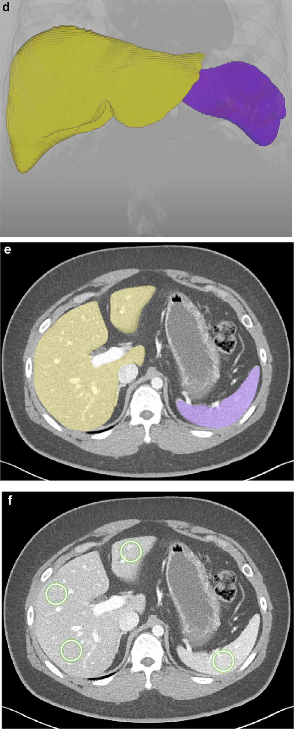
Fig. 2


Liver CT scan of a 35-year-old man with chronic hepatitis B and severe steatosis, with a controlled attenuation parameter value of 312. Fully automated 3D segmentation of the liver and spleen was performed on pre-contrast (a–c) and post-contrast images (d–f). Based on the 3D organ segmentation (a, d: 3D volume rendering images; b, e: axial images showing liver and spleen segmentation), the volumetric mean CT attenuation values were automatically measured as follows: L_pre = 31.1 HU, S_pre = 39.1 HU; L_post = 116.4 HU, S_post = 143.2 HU. Accordingly, L-S_pre = -8.0 HU and L-S_post = -26.8 HU, indicating severe steatosis. CT attenuation measurements using the 2D region-of-interest method on axial sections (c, f) were 35.6 HU and 42.2 HU for the liver and spleen on the pre-contrast image, and 115.8 HU and 154.5 HU on the post-contrast image. L = mean CT attenuation values of the liver; S = mean CT attenuation values of the spleen; L-S = L minus S.