Fig. 1

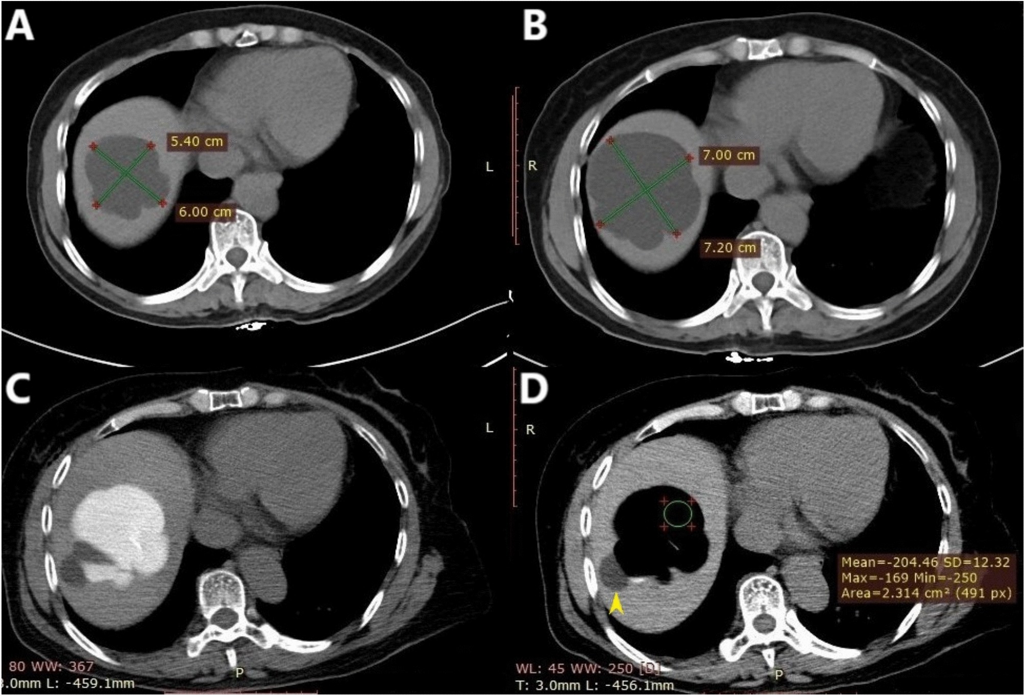
A 57-year-old woman presented with an enlarging hepatic cyst. The simple hepatic cyst (approximately 3–4 cm in size) was accidentally discovered in 2016 via ultrasound. CT performed in May 2018 and November 2019 revealed progressive enlargement of the cyst. The procedure was performed at Center A using the modified technique, and the patient’s prior (A, B) and interprocedural (C, D) CT images are shown below. (A) In May 2018, the cyst size was 5.4 cm × 6.0 cm × 3.6 cm. (B) In November 2019, the cyst size was 7.0 cm × 7.2 cm × 4.6 cm. Its volume increased from approximately 60 mL in May 2018 to 121 mL in November 2019. (C) In December 2019, the patient underwent percutaneous drainage. The needle tip was inserted close to the deep cyst wall, after which the contrast agent was injected. (D) The CT value of the intracystic fluid was − 204 HU, suggesting that the ethanol concentration exceeded 90%. A small cyst (yellow arrowhead) adjoining the large cyst was not treated.