Fig. 3
From: Chronic starvation induces microglial cell depletion in an activity-based anorexia model

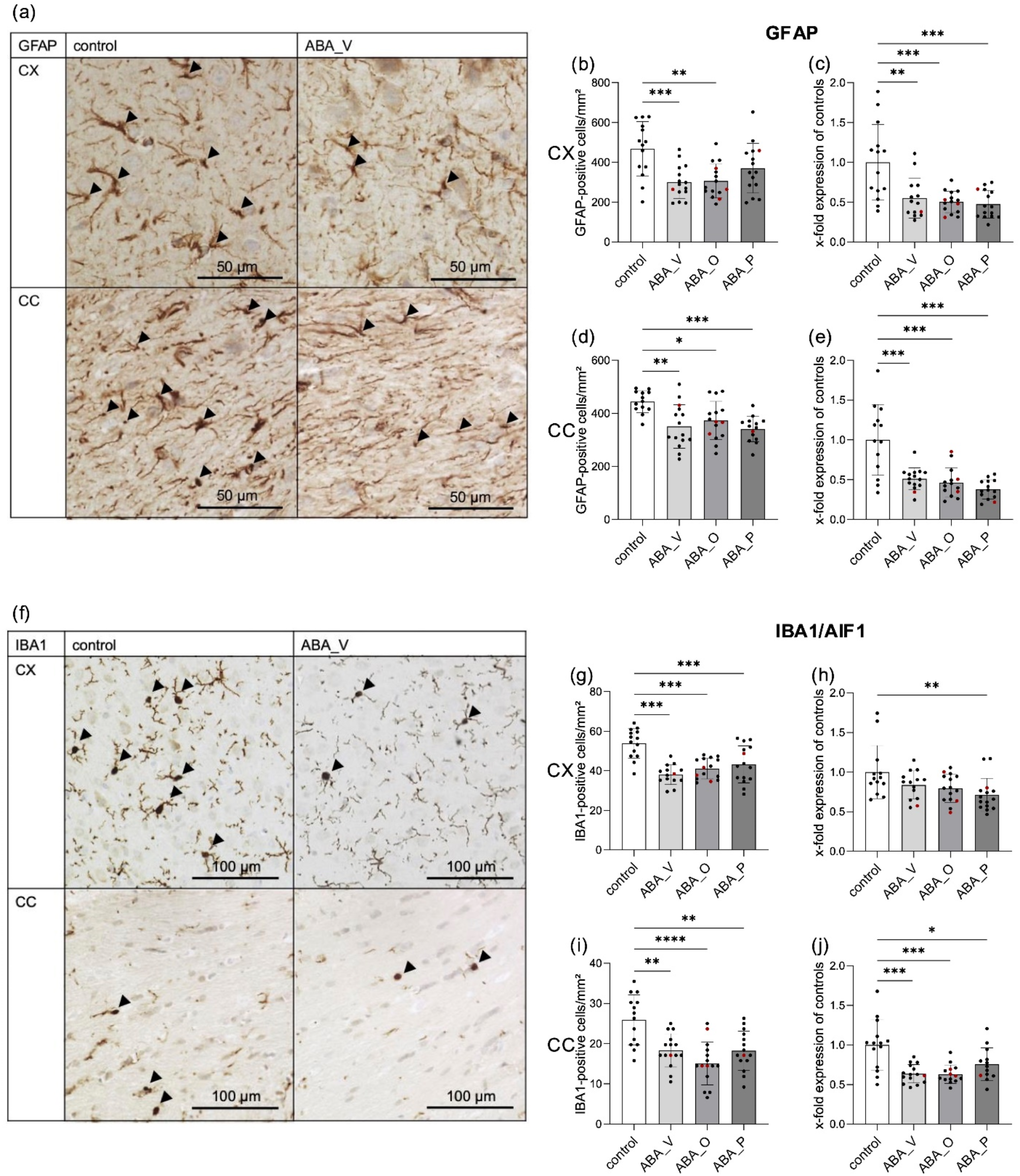
(a) Images of GFAP staining in the corpus callosum (CC) and cerebral cortex (CX) of control and ABA_V rats. GFAP-positive cells are indicated with arrowheads. (b) GFAP-positive cell count/mm2 (mean ± SD) in the CX, n = 59 (control n = 14, ABA_V: n = 15, ABA_O: n = 15, ABA_P: n = 15). (c) GFAP mRNA expression (mean ± SD) in the CX by qPCR, n = 58 (control: n = 14, ABA_V: n = 14, ABA_O: n = 15, ABA_P: n = 15). (d) GFAP-positive cell count/mm2 (mean ± SD) in the CC, n = 57 (control: n = 13, ABA_V: n = 15, ABA_O: n = 15, ABA_P: n = 14). (e) GFAP mRNA (mean ± SD) in CCs by qPCR, n = 56 (control: n = 13, ABA_V: n = 15, ABA_O: n = 14, ABA_P: n = 14). (f) Images of IBA1 staining in the corpus callosum (CC) and cerebral cortex (CX) of control and ABA_V rats. IBA1-positive cells are indicated with arrowheads. (g) IBA1-positive cell count/mm2 (mean ± SD) in the CX, n = 58 (control: n = 14, ABA_V: n = 14, ABA_O: n = 15, ABA_P: n = 15). (h) Quantification of AIF1 mRNA (mean ± SD) in the CX by qPCR, n = 57 (control: n = 13, ABA_V: n = 14, ABA_O: n = 15, ABA_P: n = 15). (i) IBA1-positive cell count/mm2 (mean ± SD) in the CC, n = 59 (control: n = 14, ABA_V: n = 15, ABA_O: n = 15, ABA_P: n = 15). (j) AIF1 mRNA (mean ± SD) in the CC by qPCR, n = 57 (control: n = 14, ABA_V: n = 15, ABA_O: n = 14, ABA_P: n = 14) *p ≤ 0.05, **p ≤ 0.01, ***p ≤ 0.001, one-way ANOVA with post hoc Bonferroni correction. ABA_V ABA animals with water interventions, ABA_O ABA animals with omega-3 FAs interventions, ABA_P ABA animals with probiotic interventions. Individual values from resistant animals are highlighted in red.