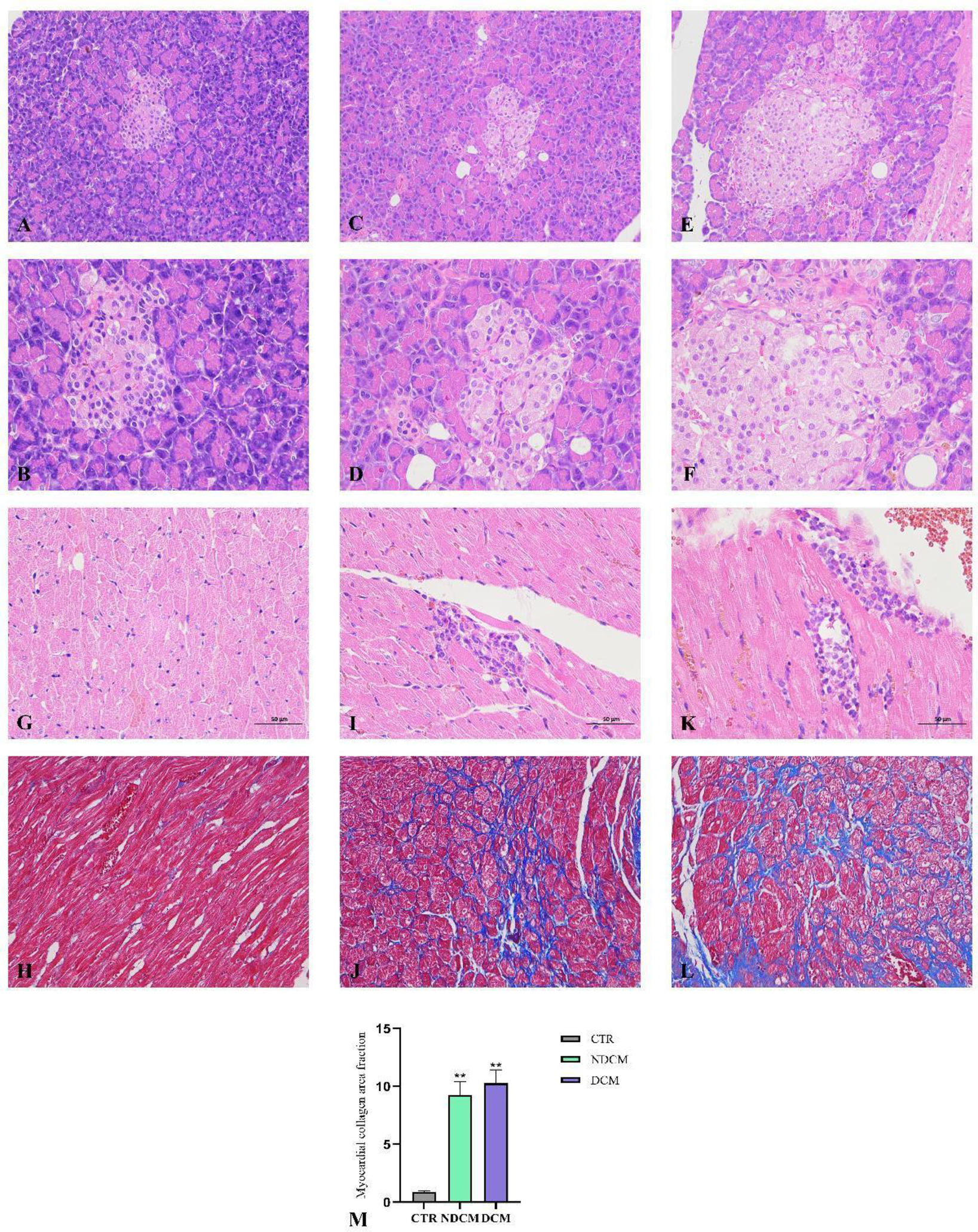
Fig. 3

The pancreatic HE histopathology of each group of rats (CTR, NDCM, DCM) is shown in the figure. Among them, A is the HE200 fold of pancreas in CTR group rats, B is the HE400 fold of pancreas in CTR group rats, C is the HE200 fold of pancreas in NDCM group rats, D is the HE400 fold of pancreas in NDCM group rats, E is the HE200 fold of pancreas in DCM group rats, and F is the HE400 fold of pancreas in DCM group rats. The cardiac HE and Masson staining histopathology of each group of rats (CTR, NDCM, DCM) are also shown in the figure. Among them, G is the heart muscle HE400 times of the CTR group rats, H is the heart muscle Masson 200 times of the CTR group rats, I is the heart muscle HE400 times of the NDCM group rats, J is the heart muscle Masson 200 times of the NDCM group rats, K is the heart muscle HE400 times of the DCM group rats, L is the heart muscle Masson 200 times of the DCM group rats, and M is the myocardial collagen area fraction in the heart muscle cells of each group of rats.