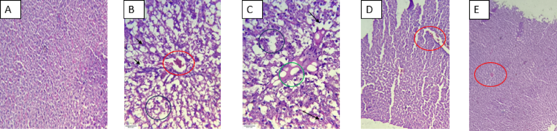
Fig. 19

Histopathology of centrilobular section of the rat liver with H&E staining: (A) normal 10X, (B) MSG group 40X, (C) MP group 40X, (D) MSG + BH group 10X, (E) MP + BH group 4X, black ring-sinusoidal congestion, red ring-venous congestion, black arrow-inflammatory cells, and green ring-balloon degeneration.