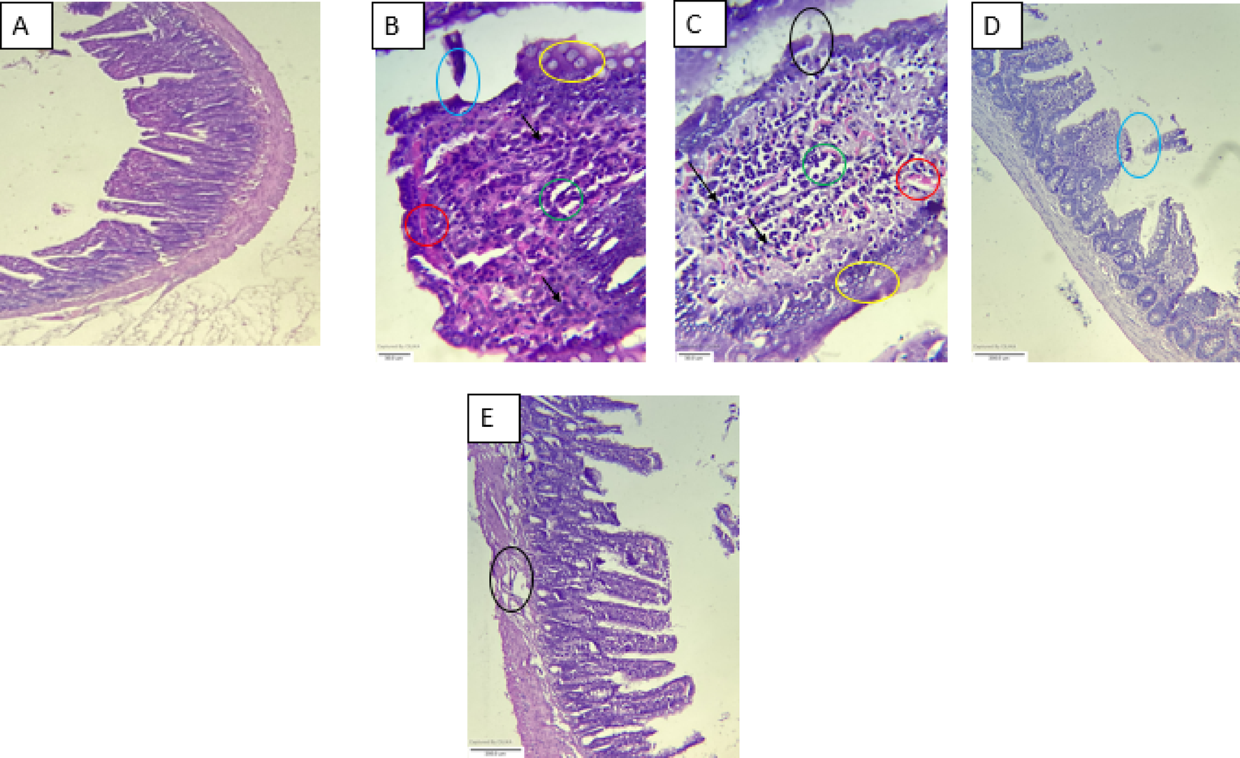
Fig. 20

Histopathology of a rat intestine specifically colon sections were selected and stained with H&E: (A) normal group 10X, (B) MSG group 40X, (C) MP group 40X, (D) MSG + BH group 10X, (E) MP + BH group 10X, black ring-epithelial exfoliation, red ring-congestion, black arrow-inflammatory cells, green ring-edema, blue ring-vilous destruction and yellow ring-ulceration.